PA5-119964
antibody from Invitrogen Antibodies
Targeting: RNF111
ARK, Arkadia, DKFZP761D081, FLJ38008
Antibody data
- Antibody Data
- Antigen structure
- References [0]
- Comments [0]
- Validations
- Immunohistochemistry [1]
Submit
Validation data
Reference
Comment
Report error
- Product number
- PA5-119964 - Provider product page

- Provider
- Invitrogen Antibodies
- Product name
- RNF111 Polyclonal Antibody
- Antibody type
- Polyclonal
- Antigen
- Recombinant full-length protein
- Description
- Positive Control: K562 cell lysate, 293T cell lysate, Hela cell lysate, human placenta tissue. Subcellular Location: Cytoplasm, Nucleus, PML body.
- Reactivity
- Human
- Host
- Rabbit
- Isotype
- IgG
- Vial size
- 100 μL
- Concentration
- 1 mg/mL
- Storage
- Store at 4°C short term. For long term storage, store at -20°C, avoiding freeze/thaw cycles.
No comments: Submit comment
Supportive validation
- Submitted by
- Invitrogen Antibodies (provider)
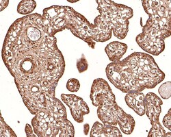
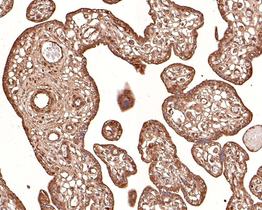
- Main image

- Experimental details
- Immunohistochemistry (Paraffin) analysis of paraffin-embedded human placenta tissue using RNF111 Polyclonal Antibody (Product # PA5-119964). The section was pre-treated using heat mediated antigen retrieval with Tris-EDTA buffer (pH 9.0) for 20 minutes. The tissues were blocked in 1% BSA for 30 minutes at room temperature, washed with ddH2O and PBS, and then probed with the RNF111 antibody at a dilution of 1:100 for 30 minutes at room temperature. The detection was performed using an HRP conjugated compact polymer system. DAB was used as the chromogen. Tissues were counterstained with hematoxylin and mounted with DPX.