Antibody data
- Antibody Data
- Antigen structure
- References [2]
- Comments [0]
- Validations
- Western blot [1]
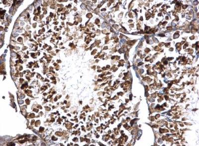
- Immunohistochemistry [1]
Submit
Validation data
Reference
Comment
Report error
- Product number
- NBP2-16109 - Provider product page

- Provider
- Novus Biologicals
- Product name
- Rabbit Polyclonal DCP2 Antibody
- Antibody type
- Polyclonal
- Description
- Immunogen affinity purified.
- Reactivity
- Human, Mouse, Zebrafish
- Host
- Rabbit
- Isotype
- IgG
- Vial size
- 0.1 ml
- Storage
- Aliquot and store at -20C or -80C. Avoid freeze-thaw cycles.
Submitted references rbpms2 functions in Balbiani body architecture and ovary fate.
Zebrafish P54 RNA helicases are cytoplasmic granule residents that are required for development and stress resilience.
Kaufman OH, Lee K, Martin M, Rothhämel S, Marlow FL
PLoS genetics 2018 Jul;14(7):e1007489
PLoS genetics 2018 Jul;14(7):e1007489
Zebrafish P54 RNA helicases are cytoplasmic granule residents that are required for development and stress resilience.
Zampedri C, Tinoco-Cuellar M, Carrillo-Rosas S, Diaz-Tellez A, Ramos-Balderas JL, Pelegri F, Maldonado E
Biology open 2016 Oct 15;5(10):1473-1484
Biology open 2016 Oct 15;5(10):1473-1484
No comments: Submit comment
Supportive validation
- Submitted by
- Novus Biologicals (provider)
- Main image

- Experimental details
- Western Blot: DCP2 Antibody [NBP2-16109] - Sample (30 ug of whole cell lysate) A: IMR32 10% SDS PAGE gel, diluted at 1:1000.
Supportive validation
- Submitted by
- Novus Biologicals (provider)
- Main image

- Experimental details
- Immunohistochemistry-Paraffin: DCP2 Antibody [NBP2-16109] - Mouse testis. DCP2 antibody dilution: 1:500. Antigen Retrieval: Trilogy™ (EDTA based, pH 8.0) buffer, 15min.