NB100-79843
antibody from Novus Biologicals
Targeting: SF3A1
Prp21, PRPF21, SAP114, SF3a120
Antibody data
- Antibody Data
- Antigen structure
- References [3]
- Comments [0]
- Validations
- Western blot [1]
- Immunohistochemistry [3]
Submit
Validation data
Reference
Comment
Report error
- Product number
- NB100-79843 - Provider product page

- Provider
- Novus Biologicals
- Proper citation
- Novus Cat#NB100-79843, RRID:AB_1110388
- Product name
- Rabbit Polyclonal SF3A1 Antibody
- Antibody type
- Polyclonal
- Description
- Immunogen affinity purified.
- Reactivity
- Human, Mouse
- Host
- Rabbit
- Isotype
- IgG
- Vial size
- 0.1 ml
- Concentration
- 0.2 mg/ml
- Storage
- Store at 4C. Do not freeze.
Submitted references Human DBR1 modulates the recycling of snRNPs to affect alternative RNA splicing and contributes to the suppression of cancer development.
Overlooked FANCD2 variant encodes a promising, portent tumor suppressor, and alternative polyadenylation contributes to its expression.
Transcriptomic analysis of PNN- and ESRP1-regulated alternative pre-mRNA splicing in human corneal epithelial cells.
Han B, Park HK, Ching T, Panneerselvam J, Wang H, Shen Y, Zhang J, Li L, Che R, Garmire L, Fei P
Oncogene 2017 Sep 21;36(38):5382-5391
Oncogene 2017 Sep 21;36(38):5382-5391
Overlooked FANCD2 variant encodes a promising, portent tumor suppressor, and alternative polyadenylation contributes to its expression.
Han B, Shen Y, Zhang P, Jayabal P, Che R, Zhang J, Yu H, Fei P
Oncotarget 2017 Apr 4;8(14):22490-22500
Oncotarget 2017 Apr 4;8(14):22490-22500
Transcriptomic analysis of PNN- and ESRP1-regulated alternative pre-mRNA splicing in human corneal epithelial cells.
Joo JH, Correia GP, Li JL, Lopez MC, Baker HV, Sugrue SP
Investigative ophthalmology & visual science 2013 Jan 23;54(1):697-707
Investigative ophthalmology & visual science 2013 Jan 23;54(1):697-707
No comments: Submit comment
Supportive validation
- Submitted by
- Novus Biologicals (provider)
- Main image

- Experimental details
- Western Blot: SF3A1 Antibody [NB100-79843] - Detection of Human SF3a120/SAP114 on HeLa whole cell lysate using NB100-79843. SF3a120/SAP114 was also IPed by rabbit anti-SF3a120/SAP114 antibodies NB100-79844, NB100-79845, and NB100-79846.
Supportive validation
- Submitted by
- Novus Biologicals (provider)
- Main image

- Experimental details
- Immunohistochemistry-Paraffin: SF3A1 Antibody [NB100-79843] - Detection of Human SF3a120/SAP114 by Immunohistochemistry. Sample: FFPE section of human pancreatic islet cell tumor. Antibody: Affinity purified rabbit anti-SF3a120/SAP114 used at a dilution of 1:250. Detection: DAB staining using Immunohistochemistry Accessory Kit.
- Submitted by
- Novus Biologicals (provider)
- Main image

- Experimental details
- Immunohistochemistry-Paraffin: SF3A1 Antibody [NB100-79843] - FFPE section of mouse teratoma. Antibody: Affinity purified rabbit anti- SF3a120/SAP114 used at a dilution of 1:100. Detection: DAB staining using Immunohistochemistry Accessory Kit.
- Submitted by
- Novus Biologicals (provider)
- Main image

- Experimental details
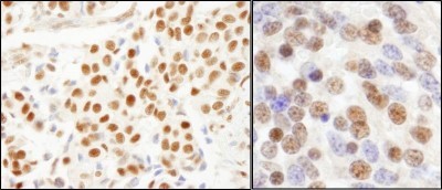
- Immunohistochemistry: SF3A1 Antibody [NB100-79843] - Sample: FFPE sections of human breast carcinoma (left) and mouse teratoma (right). Antibody: Affinity purified rabbit anti- SF3a120/SAP114 used at a dilution of 1:200 (1 ug/ml). Detection: DAB