Antibody data
- Antibody Data
- Antigen structure
- References [0]
- Comments [0]
- Validations
- Western blot [2]
- Immunocytochemistry [1]
- Immunohistochemistry [5]
Submit
Validation data
Reference
Comment
Report error
- Product number
- PA5-56529 - Provider product page

- Provider
- Invitrogen Antibodies
- Product name
- Anti-PGGT1B Polyclonal Antibody
- Antibody type
- Polyclonal
- Antigen
- Recombinant full-length protein
- Description
- Immunogen sequence: GAGLESHGGS TFCGIASLCL MGKLEEVFSE KELNRIKRWC IMRQQNGYHG RPNKPVDTCY SFWVGATLKL LKIFQYTNFE KNRNYILSTQ DRLVGGFAKW PDSHPDALHA YFGICGLSLM EESGICKVHP ALNVS Highest antigen sequence identity to the following orthologs: Mouse - 100%, Rat - 100%.
- Reactivity
- Human, Mouse, Rat
- Host
- Rabbit
- Isotype
- IgG
- Vial size
- 100 µL
- Concentration
- 0.1 mg/mL
- Storage
- Store at 4°C short term. For long term storage, store at -20°C, avoiding freeze/thaw cycles.
No comments: Submit comment
Supportive validation
- Submitted by
- Invitrogen Antibodies (provider)
- Main image

- Experimental details
- Western blot analysis of PGGT1B in human small intestine tissue using a PGGT1B Polyclonal Antibody (Product # PA5-56529).
- Submitted by
- Invitrogen Antibodies (provider)
- Main image

- Experimental details
- Western blot analysis of PGGT1B in mouse cell line NIH-3T3 and rat cell line NBT-II using a PGGT1B Polyclonal Antibody (Product # PA5-56529).
Supportive validation
- Submitted by
- Invitrogen Antibodies (provider)
- Main image

- Experimental details
- Immunofluorescent staining of PGGT1B in human cell line MCF7 shows positivity in cytoplasm & nucleus but excluded from the nucleoli. Samples were probed using a PGGT1B Polyclonal Antibody (Product # PA5-56529).
Supportive validation
- Submitted by
- Invitrogen Antibodies (provider)
- Main image

- Experimental details
- Immunohistochemical staining of PGGT1B in human testis using PGGT1B Polyclonal Antibody (Product # PA5-56529) shows moderate cytoplasmic positivity in Leydig cells.
- Submitted by
- Invitrogen Antibodies (provider)
- Main image

- Experimental details
- Immunohistochemical staining of PGGT1B in human duodenum using PGGT1B Polyclonal Antibody (Product # PA5-56529) shows moderate tcytoplasmic positivity in glandular cells.
- Submitted by
- Invitrogen Antibodies (provider)
- Main image

- Experimental details
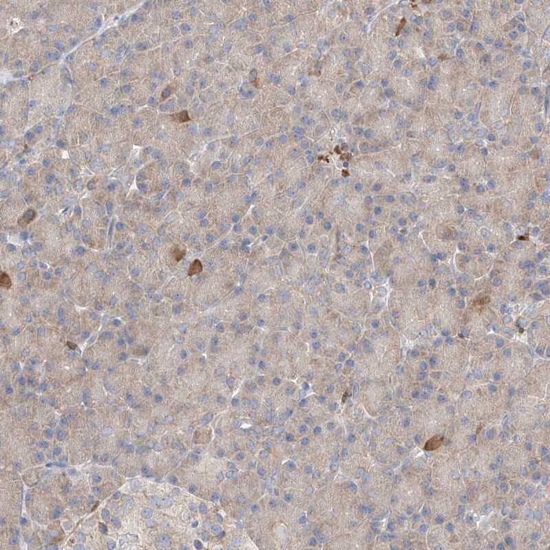
- Immunohistochemical staining of PGGT1B in human pancreas using PGGT1B Polyclonal Antibody (Product # PA5-56529) shows weak cytoplasmic positivity in exocrine glandular cells.
- Submitted by
- Invitrogen Antibodies (provider)
- Main image

- Experimental details
- Immunohistochemical staining of PGGT1B in human Fallopian tube using PGGT1B Polyclonal Antibody (Product # PA5-56529) shows strong cytoplasmic positivity in stromal cells.
- Submitted by
- Invitrogen Antibodies (provider)
- Main image

- Experimental details
- Immunohistochemical staining of PGGT1B in human endometrium using PGGT1B Polyclonal Antibody (Product # PA5-56529) shows moderate cytoplasmic positivity in stromal cells.