Antibody data
- Antibody Data
- Antigen structure
- References [0]
- Comments [0]
- Validations
- Immunohistochemistry [2]
Submit
Validation data
Reference
Comment
Report error
- Product number
- TA322097 - Provider product page

- Provider
- OriGene
- Product name
- Anti-SUN5 Antibody
- Antibody type
- Polyclonal
- Antigen
- Synthetic peptide corresponding to a region derived from 22-35 amino acids of human Sad1 and UNC84 domain containing 5
- Description
- Anti-SUN5 Rabbit Polyclonal Antibody
- Reactivity
- Human, Mouse, Rat
- Host
- Rabbit
- Isotype
- IgG
- Vial size
- 100 µl
- Concentration
- 1.4mg/ml
No comments: Submit comment
Supportive validation
- Submitted by
- OriGene (provider)
- Main image

- Experimental details
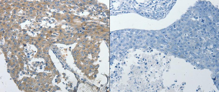
- Predicted cell location: Cytoplasm . Positive control: Human breast and gastric cancer tissue . Recommended dilution: 1/25-100 The image on the left is immunohistochemistry of paraffin-embedded human breast cancer tissue using SUN5 antibody at dilution 1/40, on the right is treated with the synthetic peptide. (Original magnification:x 200)
- Validation comment
- IHC
- Submitted by
- OriGene (provider)
- Main image

- Experimental details
- Predicted cell location: Cytoplasm . Positive control: Human breast and gastric cancer tissue . Recommended dilution: 1/25-100 The image on the left is immunohistochemistry of paraffin-embedded human gastric cancer tissue using SUN5 antibody at dilution 1/40, on the right is treated with the synthetic peptide. (Original magnification:x200)
- Validation comment
- IHC