Antibody data
- Antibody Data
- Antigen structure
- References [0]
- Comments [0]
- Validations
- Western blot [2]
- Immunohistochemistry [2]
Submit
Validation data
Reference
Comment
Report error
- Product number
- LS-C430152 - Provider product page

- Provider
- LSBio
- Product name
- SLC17A2 Antibody (aa230-279, Biotin) LS-C430152
- Antibody type
- Polyclonal
- Description
- Immunoaffinity purified
- Reactivity
- Human, Mouse
- Host
- Rabbit
- Conjugate
- Biotin
- Storage
- Short term: store at 4°C. Long term: add glycerol to 40-50%, aliquot to avoid freeze-thaw cycles, and store at -20°C. Protect from light.
No comments: Submit comment
Enhanced validation
- Submitted by
- LSBio (provider)
- Enhanced method
- Genetic validation
- Main image

- Experimental details
- Jurkat Cell Lysate. This image was taken for the unconjugated form of this product. Other forms have not been tested.
- Submitted by
- LSBio (provider)
- Enhanced method
- Genetic validation
- Main image

- Experimental details
- SLC17A2 antibody Western blot of Jurkat lysate. This image was taken for the unconjugated form of this product. Other forms have not been tested.
Supportive validation
- Submitted by
- LSBio (provider)
- Enhanced method
- Genetic validation
- Main image

- Experimental details
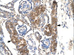
- Human Kidney. This image was taken for the unconjugated form of this product. Other forms have not been tested.
- Submitted by
- LSBio (provider)
- Enhanced method
- Genetic validation
- Main image

- Experimental details
- Human Intestine. This image was taken for the unconjugated form of this product. Other forms have not been tested.