PA5-49721
antibody from Invitrogen Antibodies
		Targeting: BPIFB2
		
		BPIL1, C20orf184, dJ726C3.2, LPLUNC2	
	
	
	
	
Antibody data
- Antibody Data
- Antigen structure
- References [0]
- Comments [0]
- Validations
- Immunohistochemistry [1]
Submit
Validation data
Reference
Comment
Report error
- Product number
- PA5-49721 - Provider product page 
- Provider
- Invitrogen Antibodies
- Product name
- BPIL1 Polyclonal Antibody
- Antibody type
- Polyclonal
- Antigen
- Synthetic peptide
- Description
- The antibody detects endogenous level of total BPIFB2 protein.
- Reactivity
- Human
- Host
- Rabbit
- Isotype
- IgG
- Vial size
- 100 μL
- Concentration
- 1.6 mg/mL
- Storage
- -20°C, Avoid Freeze/Thaw Cycles
				No comments: Submit comment	
	
			
							
					Supportive validation
					
									
				
		- Submitted by
- Invitrogen Antibodies (provider)
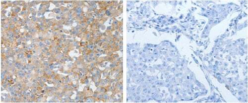
- Main image
 
- Experimental details
- Immunohistochemical analysis of BPIL1 in paraffin-embedded Human breast cancer tissue using (left) BPIL1 Polyclonal Antibody (Product # PA5-49721) at a 1:50 dilution and (right) is treated with the synthetic peptide.