Antibody data
- Antibody Data
- Antigen structure
- References [0]
- Comments [0]
- Validations
- Western blot [1]
- Immunohistochemistry [2]
Submit
Validation data
Reference
Comment
Report error
- Product number
- LS-C369427 - Provider product page

- Provider
- LSBio
- Product name
- CNTFR Antibody (HRP) LS-C369427
- Antibody type
- Polyclonal
- Description
- Caprylic acid and ammonium sulfate precipitation
- Reactivity
- Human
- Host
- Rabbit
- Conjugate
- Horseradish Peroxidase
- Isotype
- IgG
- Storage
- Short term: -20°C; Long term: -80°C; Avoid freeze-thaw cycles.
No comments: Submit comment
Enhanced validation
- Submitted by
- LSBio (provider)
- Enhanced method
- Genetic validation
- Main image

- Experimental details
- Western blot. All lanes: CNTFR antibody at 2 ug/ml+HeLa whole cell lysate. Secondary antibody: goat polyclonal to rabbit at 1:10000 dilution. Predicted band size: 41 kDa. Observed band size: 41 kDa. This image was taken for the unconjugated form of this product. Other forms have not been tested.
Supportive validation
- Submitted by
- LSBio (provider)
- Enhanced method
- Genetic validation
- Main image

- Experimental details
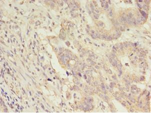
- Immunohistochemistry of paraffin-embedded human colon cancer using antibody at 1:100 dilution. This image was taken for the unconjugated form of this product. Other forms have not been tested.
- Submitted by
- LSBio (provider)
- Enhanced method
- Genetic validation
- Main image

- Experimental details
- Immunohistochemistry of paraffin-embedded human skeletal muscle tissue using antibody at 1: 100 dilution. This image was taken for the unconjugated form of this product. Other forms have not been tested.