Antibody data
- Antibody Data
- Antigen structure
- References [0]
- Comments [0]
- Validations
- Other assay [4]
Submit
Validation data
Reference
Comment
Report error
- Product number
- STJ72400 - Provider product page

- Provider
- St John's Laboratory
- Product name
- Anti-DCTN3 antibody (Internal) (STJ72400)
- Antibody type
- Polyclonal
- Description
- Goat polyclonal antibody anti-DCTN3 (Internal) is suitable for use in ELISA, Western Blot and Immunohistochemistry research applications.
- Reactivity
- Human, Mouse, Rat, Bovine, Canine
- Host
- Goat
- Conjugate
- Unconjugated
- Antigen sequence
QVALGNISSKRE- Epitope
- NA
- Isotype
- IgG
- Antibody clone number
- NA
- Vial size
- NA
- Concentration
- NA
- Storage
- Store at-20 on receipt and minimise freeze-thaw cycles.
- Handling
- NA
No comments: Submit comment
Supportive validation
Supportive validation
Supportive validation
Supportive validation
- Submitted by
- St John's Laboratory (provider)
- Main image

- Experimental details
- STJ72400 (0. 03µg/ml) staining of Human Kidney lysate (35µg protein in RIPA buffer). Primary incubation was 1 hour. Detected by chemiluminescence.
- Sample type
- NA
- Validation comment
- NA
- Primary Ab dilution
- NA
- Other comments
- NA
- Secondary Ab
- NA
- Secondary Ab dilution
- NA
- Protocol
- NA
Supportive validation
- Submitted by
- St John's Laboratory (provider)
- Main image

- Experimental details
- STJ72400 (0. 2µg/ml) staining of Mouse (A) and Rat (B) Skeletal Muscle lysates (35µg protein in RIPA buffer). Primary incubation was 1 hour. Detected by chemiluminescence.
- Sample type
- NA
- Validation comment
- NA
- Primary Ab dilution
- NA
- Other comments
- NA
- Secondary Ab
- NA
- Secondary Ab dilution
- NA
- Protocol
- NA
Supportive validation
- Submitted by
- St John's Laboratory (provider)
- Main image

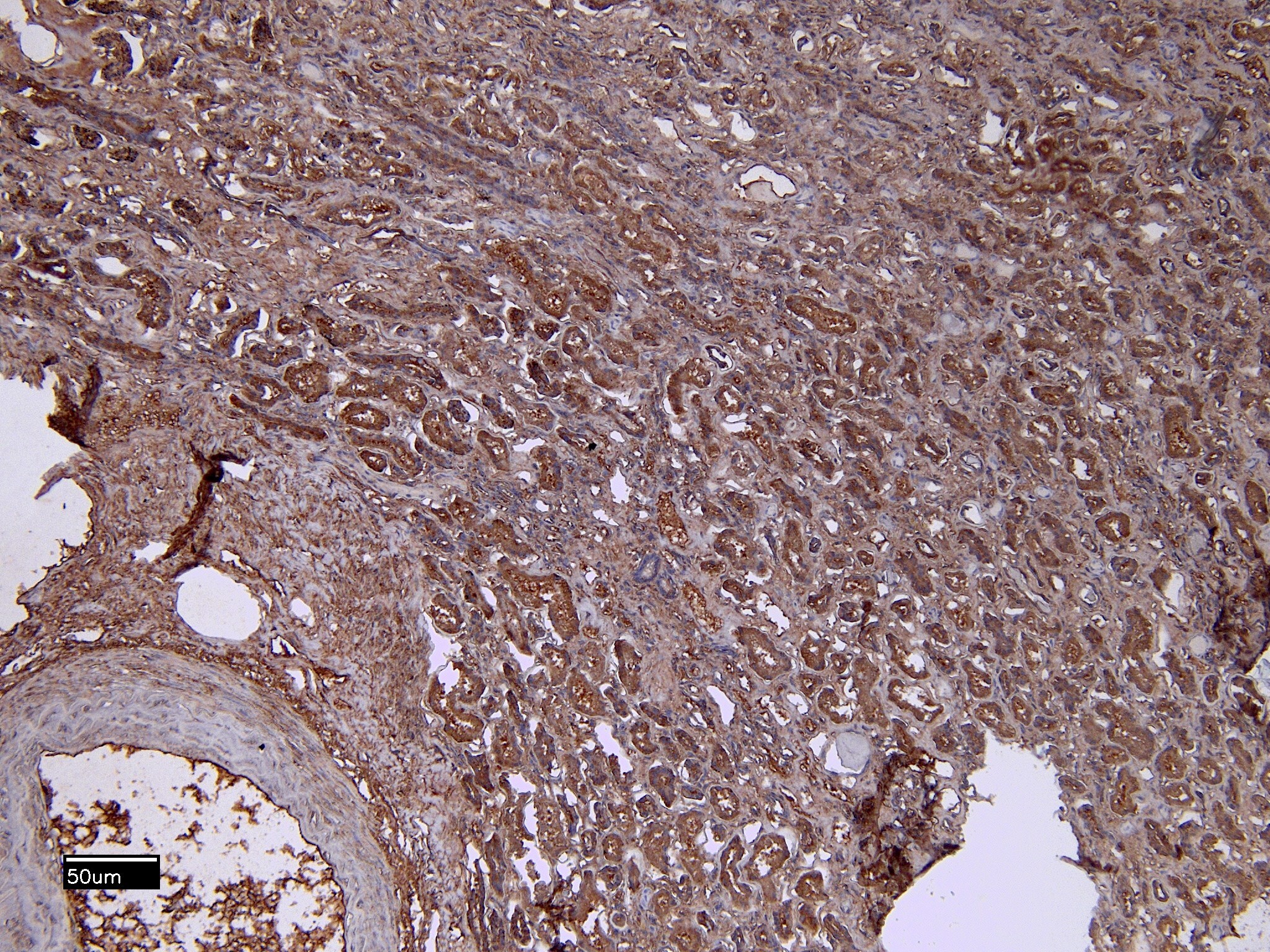
- Experimental details
- STJ72400 (8µg/ml) staining of paraffin embedded Human Kidney. Heat induced antigen retrieval with citrate buffer pH 6, HRP-staining.
- Sample type
- NA
- Validation comment
- NA
- Primary Ab dilution
- NA
- Other comments
- NA
- Secondary Ab
- NA
- Secondary Ab dilution
- NA
- Protocol
- NA
Supportive validation
- Submitted by
- St John's Laboratory (provider)
- Main image

- Experimental details
- STJ72400 Negative Control showing staining of paraffin embedded Human Kidney, with no primary antibody.
- Sample type
- NA
- Validation comment
- NA
- Primary Ab dilution
- NA
- Other comments
- NA
- Secondary Ab
- NA
- Secondary Ab dilution
- NA
- Protocol
- NA