Antibody data
- Antibody Data
- Antigen structure
- References [0]
- Comments [0]
- Validations
- Western blot [2]
- ELISA [1]
- Immunohistochemistry [2]
- Flow cytometry [1]
Submit
Validation data
Reference
Comment
Report error
- Product number
- NBP2-37273 - Provider product page

- Provider
- Novus Biologicals
- Product name
- Mouse Monoclonal PSP/BPIFA2 Antibody
- Antibody type
- Monoclonal
- Description
- Protein A or G purified.
- Reactivity
- Human
- Host
- Mouse
- Isotype
- IgG
- Vial size
- 0.1 ml
- Concentration
- 1 mg/ml
- Storage
- Store at 4C short term. Aliquot and store at -20C long term. Avoid freeze-thaw cycles.
No comments: Submit comment
Supportive validation
- Submitted by
- Novus Biologicals (provider)
- Main image

- Experimental details
- Western Blot: PSP/BPIFA2 Antibody (2B4F5) [NBP2-37273] - Analysis using mSplunc2 mAb against human mSplunc2 (AA: 16-169) recombinant protein. (Expected MW is 18.5 kDa)
- Submitted by
- Novus Biologicals (provider)
- Main image

- Experimental details
- Western Blot: PSP/BPIFA2 Antibody (2B4F5) [NBP2-37273] - Analysis using mSplunc2 mAb against HEK293 (1) and mSplunc2 (AA: 16-169)-hIgGFc transfected HEK293 (2) cell lysate.
Supportive validation
- Submitted by
- Novus Biologicals (provider)
- Main image

- Experimental details
- ELISA: PSP/BPIFA2 Antibody (2B4F5) [NBP2-37273] - Red: Control Antigen (100ng); Purple: Antigen (10ng); Green: Antigen (50ng); Blue: Antigen (100ng);
Supportive validation
- Submitted by
- Novus Biologicals (provider)
- Main image

- Experimental details
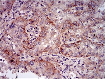
- Immunohistochemistry-Paraffin: PSP/BPIFA2 Antibody (2B4F5) [NBP2-37273] - Analysis of prostate cancer tissues using mSplunc2 mouse mAb with DAB staining.
- Submitted by
- Novus Biologicals (provider)
- Main image

- Experimental details
- Immunohistochemistry-Paraffin: PSP/BPIFA2 Antibody (2B4F5) [NBP2-37273] - Analysis of endometrial cancer tissues using mSplunc2 mouse mAb with DAB staining.
Supportive validation
- Submitted by
- Novus Biologicals (provider)
- Main image

- Experimental details
- Flow Cytometry: PSP/BPIFA2 Antibody (2B4F5) [NBP2-37273] - Analysis of MCF-7 cells using mSplunc2 mouse mAb (green) and negative control (red).