Antibody data
- Antibody Data
- Antigen structure
- References [0]
- Comments [0]
- Validations
- Western blot [1]
- Immunohistochemistry [1]
- Flow cytometry [1]
Submit
Validation data
Reference
Comment
Report error
- Product number
- GTX81722 - Provider product page

- Provider
- GeneTex
- Proper citation
- GeneTex Cat#GTX81722, RRID:AB_11164399
- Product name
- Apolipoprotein L4 antibody, Internal
- Antibody type
- Polyclonal
- Reactivity
- Human
- Host
- Rabbit
No comments: Submit comment
Supportive validation
- Submitted by
- GeneTex (provider)
- Main image

- Experimental details
- Western blot analysis of APOL4 Antibody (Center E273) (GTX81722) in HL60 cell line lysates (35ug/lane). APOL4 (arrow) was detected using the purified Pab.
- Validation comment
- WB
Supportive validation
- Submitted by
- GeneTex (provider)
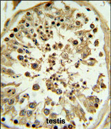
- Main image

- Experimental details
- APOL4 Antibody (Center E273) (GTX81722) IHC analysis in formalin fixed and paraffin embedded human testis tissue followed by peroxidase conjμgation of the secondary antibody and DAB staining. This data demonstrates the use of the APOL4 Antibody (Center E273) for immunohistochemistry. Clinical relevance has not been evaluated.
Supportive validation
- Submitted by
- GeneTex (provider)
- Main image

- Experimental details
- APOL4 Antibody (Center E273) (GTX81722) flow cytometric analysis of HL-60 cells (right histogram) compared to a negative control cell (left histogram).FITC-conjμgated goat-anti-rabbit secondary antibodies were used for the analysis.