PA5-64875
antibody from Invitrogen Antibodies
Targeting: ZNF630
BC037316, dJ54B20.2, FLJ20573, MGC138344
Antibody data
- Antibody Data
- Antigen structure
- References [0]
- Comments [0]
- Validations
- Immunohistochemistry [5]
Submit
Validation data
Reference
Comment
Report error
- Product number
- PA5-64875 - Provider product page

- Provider
- Invitrogen Antibodies
- Product name
- ZNF630 Polyclonal Antibody
- Antibody type
- Polyclonal
- Antigen
- Recombinant protein fragment
- Description
- Immunogen sequence: VTFEDVAVDFT QEEWQQLNPA QKTLHRDVML ETYNHLVSVG CSGIKPDVIF KLEHGKDPWI IESELSRWIY PDRVKGLESS QQIISGELLF QREILERAPK DNSL Highest antigen sequence identity to the following orthologs - mouse 50%, rat 46%.
- Reactivity
- Human
- Host
- Rabbit
- Isotype
- IgG
- Vial size
- 100 μL
- Concentration
- 0.1 mg/mL
- Storage
- Store at 4°C short term. For long term storage, store at -20°C, avoiding freeze/thaw cycles.
No comments: Submit comment
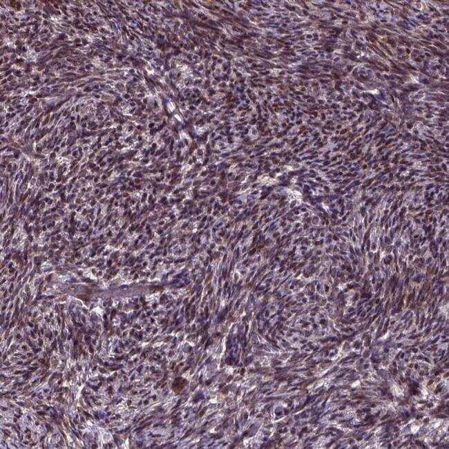
Supportive validation
- Submitted by
- Invitrogen Antibodies (provider)
- Main image

- Experimental details
- Immunohistochemical staining of ZNF630 in human ovary shows strong nuclear positivity in ovarian stroma cells. Samples were probed using a ZNF630 Polyclonal Antibody (Product # PA5-64875).
- Submitted by
- Invitrogen Antibodies (provider)
- Main image

- Experimental details
- Immunohistochemical analysis of ZNF630 in human fallopian tube using ZNF630 Polyclonal Antibody (Product # PA5-64875) shows strong nuclear positivity in glandular cells.
- Submitted by
- Invitrogen Antibodies (provider)
- Main image

- Experimental details
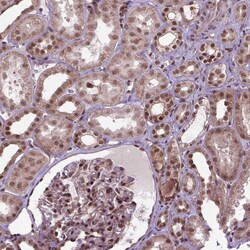
- Immunohistochemical analysis of ZNF630 in human kidney using ZNF630 Polyclonal Antibody (Product # PA5-64875) shows strong nuclear positivity in cells in tubules.
- Submitted by
- Invitrogen Antibodies (provider)
- Main image

- Experimental details
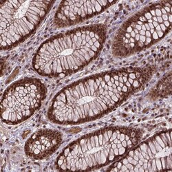
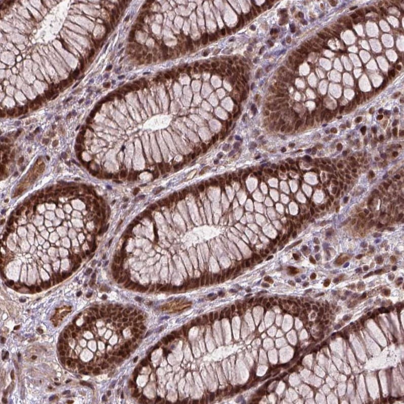
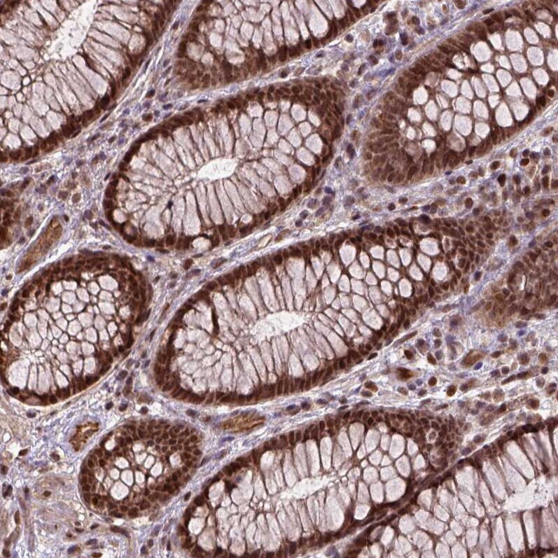
- Immunohistochemical analysis of ZNF630 in human rectum using ZNF630 Polyclonal Antibody (Product # PA5-64875) shows strong nuclear positivity in glandular cells.
- Submitted by
- Invitrogen Antibodies (provider)
- Main image

- Experimental details
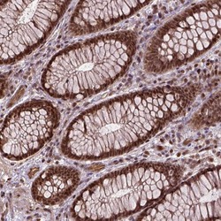
- Immunohistochemical analysis of ZNF630 in human rectum using ZNF630 Polyclonal Antibody (Product # PA5-64875) shows strong nuclear positivity in glandular cells.