Antibody data
- Antibody Data
- Antigen structure
- References [3]
- Comments [0]
- Validations
- Western blot [1]
- Immunohistochemistry [2]
Submit
Validation data
Reference
Comment
Report error
- Product number
- 20452-1-AP - Provider product page

- Provider
- Proteintech Group
- Proper citation
- Proteintech Cat#20452-1-AP, RRID:AB_10697664
- Product name
- ALDH6A1 antibody
- Antibody type
- Polyclonal
- Description
- ALDH6A1 antibody (Cat. #20452-1-AP) is a rabbit polyclonal antibody that shows reactivity with human, mouse, rat and has been validated for the following applications: IHC, WB,ELISA.
- Reactivity
- Human, Mouse, Rat
- Host
- Rabbit
- Conjugate
- Unconjugated
- Isotype
- IgG
- Vial size
- 20ul, 150ul
Submitted references DNMT1 mediates the disturbed flow-induced endothelial to mesenchymal transition through disrupting β-alanine and carnosine homeostasis.
Transcriptome and Proteome Analysis in LUHMES Cells Overexpressing Alpha-Synuclein.
RNA Sequencing of Collecting Duct Renal Cell Carcinoma Suggests an Interaction between miRNA and Target Genes and a Predominance of Deregulated Solute Carrier Genes.
Zhao J, Zhao C, Yang F, Jiang Z, Zhu J, Yao W, Pang W, Zhou J
Theranostics 2023;13(13):4392-4411
Theranostics 2023;13(13):4392-4411
Transcriptome and Proteome Analysis in LUHMES Cells Overexpressing Alpha-Synuclein.
Höllerhage M, Stepath M, Kohl M, Pfeiffer K, Chua OWH, Duan L, Hopfner F, Eisenacher M, Marcus K, Höglinger GU
Frontiers in neurology 2022;13:787059
Frontiers in neurology 2022;13:787059
RNA Sequencing of Collecting Duct Renal Cell Carcinoma Suggests an Interaction between miRNA and Target Genes and a Predominance of Deregulated Solute Carrier Genes.
Wach S, Taubert H, Weigelt K, Hase N, Köhn M, Misiak D, Hüttelmaier S, Stöhr CG, Kahlmeyer A, Haller F, Vera J, Hartmann A, Wullich B, Lai X
Cancers 2019 Dec 24;12(1)
Cancers 2019 Dec 24;12(1)
No comments: Submit comment
Supportive validation
- Submitted by
- Proteintech Group (provider)
- Main image

- Experimental details
- human heart tissue were subjected to SDS PAGE followed by western blot with 20452-1-AP(ALDH6A1 antibody) at dilution of 1:300
- Sample type
- tissue
Supportive validation
- Submitted by
- Proteintech Group (provider)
- Main image

- Experimental details
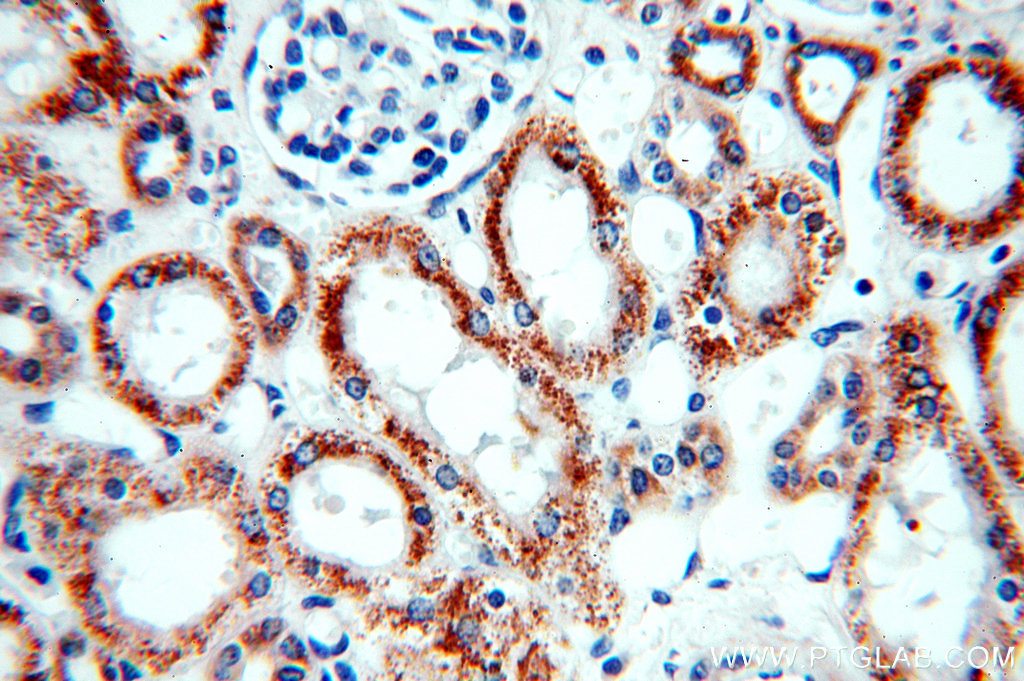
- Immunohistochemical of paraffin-embedded human kidney using 20452-1-AP(ALDH6A1 antibody) at dilution of 1:50 (under 10x lens)
- Sample type
- tissue
- Submitted by
- Proteintech Group (provider)
- Main image

- Experimental details
- The ALDH6A1 antibody from Proteintech is a rabbit polyclonal antibody to a fusion protein of human ALDH6A1. This antibody recognizes human, mouse, rat antigen. The ALDH6A1 antibody has been validated for the following applications: ELISA, WB, IHC analysis.