Antibody data
- Antibody Data
- Antigen structure
- References [0]
- Comments [0]
- Validations
- Western blot [3]
- ELISA [1]
- Immunohistochemistry [2]
Submit
Validation data
Reference
Comment
Report error
- Product number
- NBP2-52410 - Provider product page

- Provider
- Novus Biologicals
- Product name
- Mouse Monoclonal ALDH6A1 Antibody
- Antibody type
- Monoclonal
- Description
- Protein A or G purified.
- Reactivity
- Human
- Host
- Mouse
- Isotype
- IgG
- Vial size
- 0.1 mg
- Concentration
- 1 mg/ml
- Storage
- Store at 4C short term. Aliquot and store at -20C long term. Avoid freeze-thaw cycles.
No comments: Submit comment
Supportive validation
- Submitted by
- Novus Biologicals (provider)
- Main image

- Experimental details
- Western Blot: ALDH6A1 Antibody (6H9B8) [NBP2-52410] - Analysis using ALDH6A1 mAb against human ALDH6A1 (AA: 1-195) recombinant protein. (Expected MW is 47.2 kDa)
- Submitted by
- Novus Biologicals (provider)
- Main image

- Experimental details
- Western Blot: ALDH6A1 Antibody (6H9B8) [NBP2-52410] - Analysis using ALDH6A1 mAb against HEK293 (1) and ALDH6A1 (AA: 1-195)-hIgGFc transfected HEK293 (2) cell lysate.
- Submitted by
- Novus Biologicals (provider)
- Main image

- Experimental details
- Western Blot: ALDH6A1 Antibody (6H9B8) [NBP2-52410] - Analysis using ALDH6A1 mouse mAb against Jurkat (1), HEK293 (2), Hela (3), MCF-7 (4), and LNcap (5) cell lysate.
Supportive validation
- Submitted by
- Novus Biologicals (provider)
- Main image

- Experimental details
- ELISA: ALDH6A1 Antibody (6H9B8) [NBP2-52410] - Black line: Control Antigen (100 ng);Purple line: Antigen (10ng); Blue line: Antigen (50 ng); Red line:Antigen (100 ng).
Supportive validation
- Submitted by
- Novus Biologicals (provider)
- Main image

- Experimental details
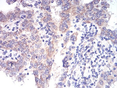
- Immunohistochemistry: ALDH6A1 Antibody (6H9B8) [NBP2-52410] - Immunohistochemical analysis of paraffin-embedded endometrial cancer tissues using ALDH6A1 mouse mAb with DAB staining.
- Submitted by
- Novus Biologicals (provider)
- Main image

- Experimental details
- Immunohistochemistry: ALDH6A1 Antibody (6H9B8) [NBP2-52410] - Analysis of paraffin-embedded rectum cancer tissues using ALDH6A1 mouse mAb with DAB staining.