Antibody data
- Antibody Data
- Antigen structure
- References [3]
- Comments [0]
- Validations
- Western blot [1]
- Immunocytochemistry [1]
- Immunohistochemistry [1]
- Flow cytometry [1]
Submit
Validation data
Reference
Comment
Report error
- Product number
- ABIN969002 - Provider product page

- Provider
- antibodies-online
- Product name
- anti-Coactivator-Associated Arginine Methyltransferase 1 (CARM1) antibody
- Antibody type
- Monoclonal
- Description
- Ascites
- Reactivity
- Human, Rat, Simian
- Host
- Mouse
- Isotype
- IgG
- Antibody clone number
- 3H2
- Vial size
- 100 μL
- Storage
- 4°C, -20°C for long term storage
Submitted references Dual role of the arginine methyltransferase CARM1 in the regulation of c-Fos target genes.
The protein arginine methyltransferases CARM1 and PRMT1 cooperate in gene regulation.
The novel human protein arginine N-methyltransferase PRMT6 is a nuclear enzyme displaying unique substrate specificity.
Fauquier L, Duboé C, Joré C, Trouche D, Vandel L
FASEB journal : official publication of the Federation of American Societies for Experimental Biology 2008 Sep;22(9):3337-47
FASEB journal : official publication of the Federation of American Societies for Experimental Biology 2008 Sep;22(9):3337-47
The protein arginine methyltransferases CARM1 and PRMT1 cooperate in gene regulation.
Kleinschmidt MA, Streubel G, Samans B, Krause M, Bauer UM
Nucleic acids research 2008 Jun;36(10):3202-13
Nucleic acids research 2008 Jun;36(10):3202-13
The novel human protein arginine N-methyltransferase PRMT6 is a nuclear enzyme displaying unique substrate specificity.
Frankel A, Yadav N, Lee J, Branscombe TL, Clarke S, Bedford MT
The Journal of biological chemistry 2002 Feb 1;277(5):3537-43
The Journal of biological chemistry 2002 Feb 1;277(5):3537-43
No comments: Submit comment
Supportive validation
- Submitted by
- antibodies-online (provider)
- Main image

- Experimental details
- WB
Supportive validation
- Submitted by
- antibodies-online (provider)
- Main image

- Experimental details
- ICC
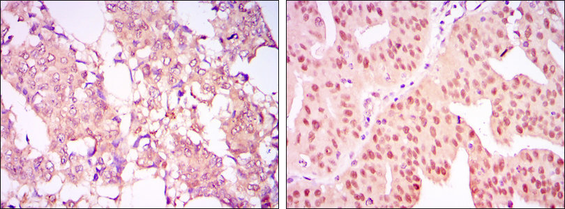
Supportive validation
- Submitted by
- antibodies-online (provider)
- Main image

- Experimental details
- IHC
Supportive validation
- Submitted by
- antibodies-online (provider)
- Main image

- Experimental details
- FACS