Antibody data
- Antibody Data
- Antigen structure
- References [0]
- Comments [0]
- Validations
- Western blot [1]
- Immunohistochemistry [24]
Submit
Validation data
Reference
Comment
Report error
- Product number
- LS-C114935 - Provider product page

- Provider
- LSBio
- Product name
- LOX / Lysyl Oxidase Antibody (clone OTI6B11) LS-C114935
- Antibody type
- Monoclonal
- Description
- Affinity purified
- Reactivity
- Human
- Host
- Mouse
- Isotype
- IgG
- Antibody clone number
- OTI6B11
- Storage
- Store at -20°C. Avoid freeze-thaw cycles.
No comments: Submit comment
Enhanced validation
- Submitted by
- LSBio (provider)
- Enhanced method
- Genetic validation
- Main image

- Experimental details
- HEK293T cells were transfected with the pCMV6-ENTRY control (Left lane) or pCMV6-ENTRY LOX (Right lane) cDNA for 48 hrs and lysed. Equivalent amounts of cell lysates (5 ug per lane) were separated by SDS-PAGE and immunoblotted with anti-LOX.
Enhanced validation
- Submitted by
- LSBio (provider)
- Enhanced method
- Genetic validation
- Main image

- Experimental details
- Immunohistochemical staining of paraffin-embedded endometrium tissue using anti-LOX mouse monoclonal antibody. (Dilution 1:50).
- Submitted by
- LSBio (provider)
- Enhanced method
- Genetic validation
- Main image

- Experimental details
- Immunohistochemical staining of paraffin-embedded prostate tissue using anti-LOX mouse monoclonal antibody. (Dilution 1:50).
- Submitted by
- LSBio (provider)
- Enhanced method
- Genetic validation
- Main image

- Experimental details
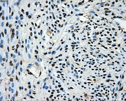
- Immunohistochemical staining of paraffin-embedded Carcinoma of prostate tissue using anti-LOX mouse monoclonal antibody. (Dilution 1:50).
- Submitted by
- LSBio (provider)
- Enhanced method
- Genetic validation
- Main image

- Experimental details
- Immunohistochemical staining of paraffin-embedded Carcinoma of bladder tissue using anti-LOX mouse monoclonal antibody. (Dilution 1:50).
- Submitted by
- LSBio (provider)
- Enhanced method
- Genetic validation
- Main image

- Experimental details
- Immunohistochemical staining of paraffin-embedded Adenocarcinoma of ovary tissue using anti-LOX mouse monoclonal antibody. (Dilution 1:50).
- Submitted by
- LSBio (provider)
- Enhanced method
- Genetic validation
- Main image

- Experimental details
- Immunohistochemical staining of paraffin-embedded pancreas tissue using anti-LOX mouse monoclonal antibody. (Dilution 1:50).
- Submitted by
- LSBio (provider)
- Enhanced method
- Genetic validation
- Main image

- Experimental details
- Immunohistochemical staining of paraffin-embedded colon tissue using anti-LOX mouse monoclonal antibody. (Dilution 1:50).
- Submitted by
- LSBio (provider)
- Enhanced method
- Genetic validation
- Main image

- Experimental details
- Immunohistochemical staining of paraffin-embedded Kidney tissue using anti-LOX mouse monoclonal antibody. (Dilution 1:50).
- Submitted by
- LSBio (provider)
- Enhanced method
- Genetic validation
- Main image

- Experimental details
- Immunohistochemical staining of paraffin-embedded liver tissue using anti-LOX mouse monoclonal antibody. (Dilution 1:50).
- Submitted by
- LSBio (provider)
- Enhanced method
- Genetic validation
- Main image

- Experimental details
- Immunohistochemical staining of paraffin-embedded Adenocarcinoma of ovary tissue using anti-LOX mouse monoclonal antibody. (Dilution 1:50).
- Submitted by
- LSBio (provider)
- Enhanced method
- Genetic validation
- Main image

- Experimental details
- Immunohistochemical staining of paraffin-embedded pancreas tissue using anti-LOX mouse monoclonal antibody. (Dilution 1:50).
- Submitted by
- LSBio (provider)
- Enhanced method
- Genetic validation
- Main image

- Experimental details
- Immunohistochemical staining of paraffin-embedded thyroid tissue using anti-LOX mouse monoclonal antibody. (Dilution 1:50).
- Submitted by
- LSBio (provider)
- Enhanced method
- Genetic validation
- Main image

- Experimental details
- Immunohistochemical staining of paraffin-embedded Adenocarcinoma of breast tissue using anti-LOX mouse monoclonal antibody. (Dilution 1:50).
- Submitted by
- LSBio (provider)
- Main image

- Experimental details
- Immunohistochemical staining of paraffin-embedded Adenocarcinoma of breast tissue using anti-LOX mouse monoclonal antibody. (Dilution 1:50).
- Submitted by
- LSBio (provider)
- Main image

- Experimental details
- Immunohistochemical staining of paraffin-embedded colon tissue using anti-LOX mouse monoclonal antibody. (Dilution 1:50).
- Submitted by
- LSBio (provider)
- Main image

- Experimental details
- Immunohistochemical staining of paraffin-embedded Kidney tissue using anti-LOX mouse monoclonal antibody. (Dilution 1:50).
- Submitted by
- LSBio (provider)
- Main image

- Experimental details
- Immunohistochemical staining of paraffin-embedded liver tissue using anti-LOX mouse monoclonal antibody. (Dilution 1:50).
- Submitted by
- LSBio (provider)
- Main image

- Experimental details
- Immunohistochemical staining of paraffin-embedded Adenocarcinoma of ovary tissue using anti-LOX mouse monoclonal antibody. (Dilution 1:50).
- Submitted by
- LSBio (provider)
- Main image

- Experimental details
- Immunohistochemical staining of paraffin-embedded pancreas tissue using anti-LOX mouse monoclonal antibody. (Dilution 1:50).
- Submitted by
- LSBio (provider)
- Main image

- Experimental details
- Immunohistochemical staining of paraffin-embedded thyroid tissue using anti-LOX mouse monoclonal antibody. (Dilution 1:50).
- Submitted by
- LSBio (provider)
- Main image

- Experimental details
- Immunohistochemical staining of paraffin-embedded endometrium tissue using anti-LOX mouse monoclonal antibody. (Dilution 1:50).
- Submitted by
- LSBio (provider)
- Main image

- Experimental details
- Immunohistochemical staining of paraffin-embedded prostate tissue using anti-LOX mouse monoclonal antibody. (Dilution 1:50).
- Submitted by
- LSBio (provider)
- Main image

- Experimental details
- Immunohistochemical staining of paraffin-embedded Carcinoma of prostate tissue using anti-LOX mouse monoclonal antibody. (Dilution 1:50).
- Submitted by
- LSBio (provider)
- Main image

- Experimental details
- Immunohistochemical staining of paraffin-embedded Carcinoma of bladder tissue using anti-LOX mouse monoclonal antibody. (Dilution 1:50).