Antibody data
- Antibody Data
- Antigen structure
- References [1]
- Comments [0]
- Validations
- Western blot [1]
- Immunohistochemistry [1]
Submit
Validation data
Reference
Comment
Report error
- Product number
- PAB6882 - Provider product page

- Provider
- Abnova Corporation
- Proper citation
- Abnova Corporation Cat#PAB6882, RRID:AB_1574624
- Product name
- EIF3M polyclonal antibody
- Antibody type
- Polyclonal
- Description
- Goat polyclonal antibody raised against synthetic peptide of EIF3M.
- Antigen sequence
C-NAWKQNLNKVKN- Storage
- Store at -20°C.Aliquot to avoid repeated freezing and thawing.
Submitted references The C terminus of the B5 receptor for herpes simplex virus contains a functional region important for infection.
Perez-Romero P, Fuller AO
Journal of virology 2005 Jun;79(12):7431-7
Journal of virology 2005 Jun;79(12):7431-7
No comments: Submit comment
Supportive validation
- Submitted by
- Abnova Corporation (provider)
- Main image

- Experimental details
- EIF3M polyclonal antibody (Cat # PAB6882) (0.1 ug/mL) staining of A-549 lysate (35 ug protein in RIPA buffer). Primary incubation was 1 hour. Detected by chemiluminescence.
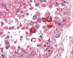
Supportive validation
- Submitted by
- Abnova Corporation (provider)
- Main image

- Experimental details
- EIF3M polyclonal antibody (Cat # PAB6882, 5 ug/mL) staining of paraffin embedded human testis. Steamed antigen retrieval with citrate buffer pH 6, AP-staining.
- Validation comment
- Immunohistochemistry (Formalin/PFA-fixed paraffin-embedded sections)