Antibody data
- Antibody Data
- Antigen structure
- References [0]
- Comments [0]
- Validations
- Immunohistochemistry [1]
- Flow cytometry [1]
Submit
Validation data
Reference
Comment
Report error
- Product number
- PA5-48236 - Provider product page

- Provider
- Invitrogen Antibodies
- Product name
- Anti-SNX24 Polyclonal Antibody
- Antibody type
- Polyclonal
- Antigen
- Synthetic peptide
- Reactivity
- Human, Mouse
- Host
- Rabbit
- Isotype
- IgG
- Vial size
- 400 µl
- Concentration
- Lot Dependent
- Storage
- -20° C, Avoid Freeze/Thaw Cycles
No comments: Submit comment
Supportive validation
- Submitted by
- Invitrogen Antibodies (provider)
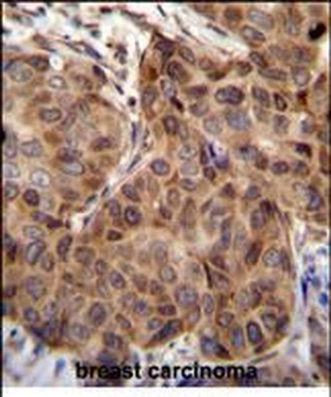
- Main image

- Experimental details
- Immunohistochemical analysis of SNX24 in formalin fixed and paraffin embedded human breast carcinoma. Samples stained using a SNX24 Antibody (N-term) (Product # PA5-48236), followed by peroxidase conjugation of the secondary antibody and DAB staining.
Supportive validation
- Submitted by
- Invitrogen Antibodies (provider)
- Main image

- Experimental details
- Flow cytometric analysis of SNX24 in A549 cells (right histogram) compared to a negative control cell (left histogram). Samples were probed with a SNX24 Antibody (N-term) (Product # PA5-48236). FITC-conjugated goat-anti-rabbit secondary antibodies were used for the analysis.