Antibody data
- Antibody Data
- Antigen structure
- References [0]
- Comments [0]
- Validations
- Western blot [3]
- Immunohistochemistry [1]
Submit
Validation data
Reference
Comment
Report error
- Product number
- NBP1-82303 - Provider product page

- Provider
- Novus Biologicals
- Proper citation
- Novus Cat#NBP1-82303, RRID:AB_11030406
- Product name
- Rabbit Polyclonal CCDC51 Antibody
- Antibody type
- Polyclonal
- Description
- Immunogen affinity purified. Specificity of human, mouse, rat CCDC51 antibody verified on a Protein Array containing target protein plus 383 other non-specific proteins.
- Reactivity
- Human, Mouse, Rat
- Host
- Rabbit
- Isotype
- IgG
- Vial size
- 0.1 ml
- Storage
- Store at 4C short term. Aliquot and store at -20C long term. Avoid freeze-thaw cycles.
No comments: Submit comment
Supportive validation
- Submitted by
- Novus Biologicals (provider)
- Main image

- Experimental details
- Western Blot: CCDC51 Antibody [NBP1-82303] - Analysis in mouse cell line NIH-3T3 and rat cell line NBT-II.
- Submitted by
- Novus Biologicals (provider)
- Main image

- Experimental details
- Western Blot: CCDC51 Antibody [NBP1-82303] - Analysis in human cell line PC-3.
- Submitted by
- Novus Biologicals (provider)
- Main image

- Experimental details
- Western Blot: CCDC51 Antibody [NBP1-82303] - Analysis using Anti-CCDC51 antibody NBP1-82303 (A) shows similar pattern to independent antibody NBP1-82302 (B).
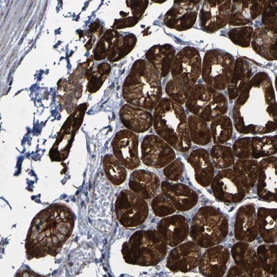
Supportive validation
- Submitted by
- Novus Biologicals (provider)
- Main image

- Experimental details
- Immunohistochemistry-Paraffin: CCDC51 Antibody [NBP1-82303] - Staining of human stomach shows strong granular cytoplasmic positivity in glandular cells.