Antibody data
- Antibody Data
- Antigen structure
- References [0]
- Comments [0]
- Validations
- Immunocytochemistry [1]
- Immunohistochemistry [1]
Submit
Validation data
Reference
Comment
Report error
- Product number
- PA5-55985 - Provider product page

- Provider
- Invitrogen Antibodies
- Product name
- CEP120 Polyclonal Antibody
- Antibody type
- Polyclonal
- Antigen
- Recombinant full-length protein
- Description
- Immunogen sequence: EEGGYHQIGP AEYCTDSFIM SVTIAFATQL EQLIPCTMKL PERQPEFFFY YSLLGNDVTN EPFNDLINPN FEPERASVRI RSSVEILRVY LALQSKLQIH LCCGDQSLGS TEIPLTGLLK KGSTEINQHP VTVEGAF
- Concentration
- 0.05 mg/mL
No comments: Submit comment
Supportive validation
- Submitted by
- Invitrogen Antibodies (provider)
- Main image

- Experimental details
- Immunofluorescent staining of CEP120 in human cell line U-251 MG using a CEP120 Polyclonal Antibody (Product # PA5-55985) shows localization to cytosol and microtubules.
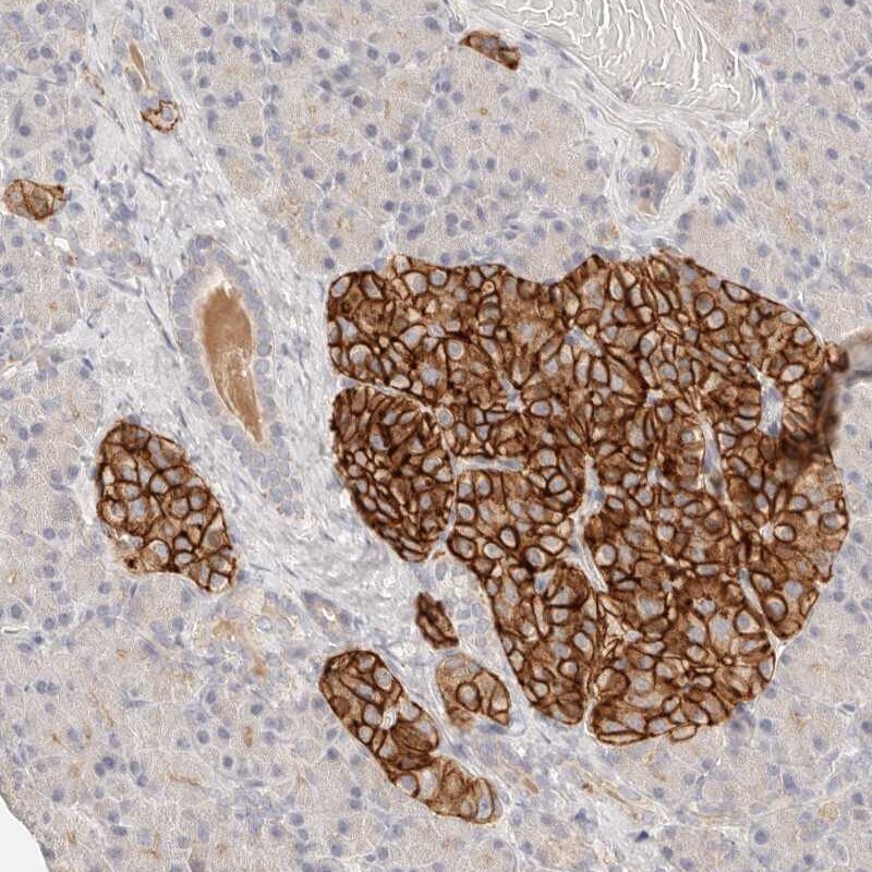
Supportive validation
- Submitted by
- Invitrogen Antibodies (provider)
- Main image

- Experimental details
- Immunohistochemical staining of CEP120 in human pancreas using a CEP120 Polyclonal Antibody (Product # PA5-55985) shows strong membranous and cytoplasmic positivity in islet cells.