Antibody data
- Antibody Data
- Antigen structure
- References [12]
- Comments [0]
- Validations
- Western blot [1]
- Immunoprecipitation [1]
- Immunohistochemistry [2]
Submit
Validation data
Reference
Comment
Report error
- Product number
- 60052-1-Ig - Provider product page

- Provider
- Proteintech Group
- Proper citation
- Proteintech Cat#60052-1-Ig, RRID:AB_2271235
- Product name
- STOML2 antibody
- Antibody type
- Monoclonal
- Description
- KD/KO validated STOML2 antibody (Cat. #60052-1-Ig) is a mouse monoclonal antibody that shows reactivity with human, mouse, rat, pig and has been validated for the following applications: IHC, IP, WB,ELISA.
- Reactivity
- Human, Mouse, Rat, Porcine
- Host
- Mouse
- Conjugate
- Unconjugated
- Isotype
- IgG
- Antibody clone number
- 1A2E9
- Vial size
- 20ul, 150ul
Submitted references Novel mechanism of neuronal hypoxia response: HIF-1α/STOML2 mediated PINK1-dependent mitophagy activation against neuronal injury.
β-hydroxybutyrate facilitates mitochondrial-derived vesicle biogenesis and improves mitochondrial functions.
RABIF promotes hepatocellular carcinoma progression through regulation of mitophagy and glycolysis.
NDUFS4 regulates cristae remodeling in diabetic kidney disease.
STOML2 restricts mitophagy and increases chemosensitivity in pancreatic cancer through stabilizing PARL-induced PINK1 degradation.
The Mitochondrial PHB2/OMA1/DELE1 Pathway Cooperates with Endoplasmic Reticulum Stress to Facilitate the Response to Chemotherapeutics in Ovarian Cancer.
Golgi-derived PI(4)P-containing vesicles drive late steps of mitochondrial division.
Expression and clinical significance of SLP-2 in ovarian tumors.
Stomatin-like protein 2 regulates survivin expression in non-small cell lung cancer cells through β-catenin signaling pathway.
Deficiency of PHB complex impairs respiratory supercomplex formation and activates mitochondrial flashes.
Novel prognostic protein markers of resectable pancreatic cancer identified by coupled shotgun and targeted proteomics using formalin-fixed paraffin-embedded tissues.
An informatics-assisted label-free approach for personalized tissue membrane proteomics: case study on colorectal cancer.
Li Y, Xu Z, Tian Z, Guo M, Shao Q, Liu Y, Gu Y, Jin F, Ji X, Liu J
Cell death discovery 2026 Feb 21;12(1)
Cell death discovery 2026 Feb 21;12(1)
β-hydroxybutyrate facilitates mitochondrial-derived vesicle biogenesis and improves mitochondrial functions.
Tang M, Tu Y, Gong Y, Yang Q, Wang J, Zhang Z, Qin J, Niu S, Yi J, Shang Z, Chen H, Tang Y, Huang Q, Liu Y, Billadeau DD, Liu X, Dai L, Jia D
Molecular cell 2025 Apr 3;85(7):1395-1410.e5
Molecular cell 2025 Apr 3;85(7):1395-1410.e5
RABIF promotes hepatocellular carcinoma progression through regulation of mitophagy and glycolysis.
Feng N, Zhang R, Wen X, Wang W, Zhang N, Zheng J, Zhang L, Liu N
Communications biology 2024 Oct 16;7(1):1333
Communications biology 2024 Oct 16;7(1):1333
NDUFS4 regulates cristae remodeling in diabetic kidney disease.
Mise K, Long J, Galvan DL, Ye Z, Fan G, Sharma R, Serysheva II, Moore TI, Jeter CR, Anna Zal M, Araki M, Wada J, Schumacker PT, Chang BH, Danesh FR
Nature communications 2024 Mar 4;15(1):1965
Nature communications 2024 Mar 4;15(1):1965
STOML2 restricts mitophagy and increases chemosensitivity in pancreatic cancer through stabilizing PARL-induced PINK1 degradation.
Qin C, Wang Y, Zhao B, Li Z, Li T, Yang X, Zhao Y, Wang W
Cell death & disease 2023 Mar 11;14(3):191
Cell death & disease 2023 Mar 11;14(3):191
The Mitochondrial PHB2/OMA1/DELE1 Pathway Cooperates with Endoplasmic Reticulum Stress to Facilitate the Response to Chemotherapeutics in Ovarian Cancer.
Cheng M, Yu H, Kong Q, Wang B, Shen L, Dong D, Sun L
International journal of molecular sciences 2022 Jan 25;23(3)
International journal of molecular sciences 2022 Jan 25;23(3)
Golgi-derived PI(4)P-containing vesicles drive late steps of mitochondrial division.
Nagashima S, Tábara LC, Tilokani L, Paupe V, Anand H, Pogson JH, Zunino R, McBride HM, Prudent J
Science (New York, N.Y.) 2020 Mar 20;367(6484):1366-1371
Science (New York, N.Y.) 2020 Mar 20;367(6484):1366-1371
Expression and clinical significance of SLP-2 in ovarian tumors.
Zhang J, Song X, Li C, Tian Y
Oncology letters 2019 May;17(5):4626-4632
Oncology letters 2019 May;17(5):4626-4632
Stomatin-like protein 2 regulates survivin expression in non-small cell lung cancer cells through β-catenin signaling pathway.
Yang CT, Li JM, Li LF, Ko YS, Chen JT
Cell death & disease 2018 Apr 1;9(4):425
Cell death & disease 2018 Apr 1;9(4):425
Deficiency of PHB complex impairs respiratory supercomplex formation and activates mitochondrial flashes.
Jian C, Xu F, Hou T, Sun T, Li J, Cheng H, Wang X
Journal of cell science 2017 Aug 1;130(15):2620-2630
Journal of cell science 2017 Aug 1;130(15):2620-2630
Novel prognostic protein markers of resectable pancreatic cancer identified by coupled shotgun and targeted proteomics using formalin-fixed paraffin-embedded tissues.
Takadate T, Onogawa T, Fukuda T, Motoi F, Suzuki T, Fujii K, Kihara M, Mikami S, Bando Y, Maeda S, Ishida K, Minowa T, Hanagata N, Ohtsuka H, Katayose Y, Egawa S, Nishimura T, Unno M
International journal of cancer 2013 Mar 15;132(6):1368-82
International journal of cancer 2013 Mar 15;132(6):1368-82
An informatics-assisted label-free approach for personalized tissue membrane proteomics: case study on colorectal cancer.
Han CL, Chen JS, Chan EC, Wu CP, Yu KH, Chen KT, Tsou CC, Tsai CF, Chien CW, Kuo YB, Lin PY, Yu JS, Hsueh C, Chen MC, Chan CC, Chang YS, Chen YJ
Molecular & cellular proteomics : MCP 2011 Apr;10(4):M110.003087
Molecular & cellular proteomics : MCP 2011 Apr;10(4):M110.003087
No comments: Submit comment
Supportive validation
- Submitted by
- Proteintech Group (provider)
- Main image

- Experimental details
- HepG2 cells were subjected to SDS PAGE followed by western blot with 60052-1-Ig(STOML2 antibody) at dilution of 1:1000
- Sample type
- cell line
Supportive validation
- Submitted by
- Proteintech Group (provider)
- Main image

- Experimental details
- IP Result of anti-STOML2 (IP:60052-1-Ig, 4ug; Detection:60052-1-Ig 1:1000) with mouse brain tissue lysate 4000ug.
- Sample type
- tissue
Supportive validation
- Submitted by
- Proteintech Group (provider)
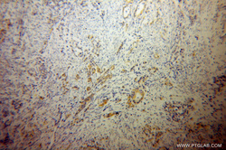
- Main image

- Experimental details
- Immunohistochemical of paraffin-embedded human endometrial cancer using 60052-1-Ig(STOML2 antibody) at dilution of 1:100 (under 10x lens)
- Sample type
- tissue
- Submitted by
- Proteintech Group (provider)
- Main image

- Experimental details
- The STOML2 antibody from Proteintech is a mouse monoclonal antibody to a recombinant protein of human STOML2. This antibody recognizes human, mouse antigen. The STOML2 antibody has been validated for the following applications: ELISA, WB, IHC, IP analysis.