Antibody data
- Antibody Data
- Antigen structure
- References [0]
- Comments [0]
- Validations
- Western blot [2]
- ELISA [1]
- Immunohistochemistry [2]
Submit
Validation data
Reference
Comment
Report error
- Product number
- NBP2-37283 - Provider product page

- Provider
- Novus Biologicals
- Product name
- Mouse Monoclonal AMPK gamma 1 Antibody
- Antibody type
- Monoclonal
- Description
- Protein A or G purified.
- Reactivity
- Human
- Host
- Mouse
- Isotype
- IgG
- Vial size
- 0.1 ml
- Concentration
- 1 mg/ml
- Storage
- Store at 4C short term. Aliquot and store at -20C long term. Avoid freeze-thaw cycles.
No comments: Submit comment
Supportive validation
- Submitted by
- Novus Biologicals (provider)
- Main image

- Experimental details
- Western Blot: AMPK gamma 1 Antibody (4A1G9) [NBP2-37283] - Western blot analysis using PRKAG1 mAb against human PRKAG1 (AA: 230-331) recombinant protein. (Expected MW is 37.4 kDa)
- Submitted by
- Novus Biologicals (provider)
- Main image

- Experimental details
- Western Blot: AMPK gamma 1 Antibody (4A1G9) [NBP2-37283] - Western blot analysis using PRKAG1 mAb against HEK293 (1) and PRKAG1 (AA: 230-331)-hIgGFc transfected HEK293 (2) cell lysate.
Supportive validation
- Submitted by
- Novus Biologicals (provider)
- Main image

- Experimental details
- ELISA: AMPK gamma 1 Antibody (4A1G9) [NBP2-37283] - Red: Control Antigen (100ng); Purple: Antigen (10ng); Green: Antigen (50ng); Blue: Antigen (100ng);
Supportive validation
- Submitted by
- Novus Biologicals (provider)
- Main image

- Experimental details
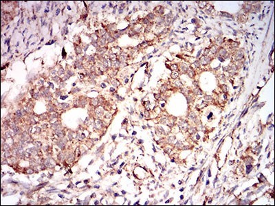
- Immunohistochemistry: AMPK gamma 1 Antibody (4A1G9) [NBP2-37283] - Immunohistochemical analysis of paraffin-embedded cervical cancer tissues using PRKAG1 mouse mAb with DAB staining.
- Submitted by
- Novus Biologicals (provider)
- Main image

- Experimental details
- Immunohistochemistry: AMPK gamma 1 Antibody (4A1G9) [NBP2-37283] - Immunohistochemical analysis of paraffin-embedded breast cancer tissues using PRKAG1 mouse mAb with DAB staining.