NBP2-32263
antibody from Novus Biologicals
Targeting: NAT10
FLJ10774, FLJ12179, hALP, KIAA1709, Kre33, NET43
Antibody data
- Antibody Data
- Antigen structure
- References [0]
- Comments [0]
- Validations
- Western blot [1]
- Immunoprecipitation [2]
- Immunohistochemistry [2]
Submit
Validation data
Reference
Comment
Report error
- Product number
- NBP2-32263 - Provider product page

- Provider
- Novus Biologicals
- Product name
- Rabbit Polyclonal NAT10 Antibody
- Antibody type
- Polyclonal
- Description
- Immunogen affinity purified.
- Reactivity
- Human, Mouse
- Host
- Rabbit
- Isotype
- IgG
- Vial size
- 100 ul
- Concentration
- 1.0 mg/ml
- Storage
- Store at 4C. Do not freeze.
No comments: Submit comment
Supportive validation
- Submitted by
- Novus Biologicals (provider)
- Main image

- Experimental details
- Western Blot: NAT10 Antibody [NBP2-32263] - Samples: Whole cell lysate (50 ug) prepared using NETN buffer from HeLa, 293T, Jurkat, mouse TCMK-1, and mouse NIH3T3 cells. Antibodies: Affinity purified rabbit anti-NAT10 antibody NBP2-32263 used for WB at 0.04 ug/ml. Detection: Chemiluminescence with an exposure time of 3 minutes.
Supportive validation
- Submitted by
- Novus Biologicals (provider)
- Main image

- Experimental details
- Immunoprecipitation: NAT10 Antibody [NBP2-32263] - Samples: Whole cell lysate (0.5 or 1.0 mg per IP reaction; 20% of IP loaded) prepared using NETN buffer from 293T cells. Antibodies: Affinity purified rabbit anti-NAT10 antibody NBP2-32263 used for IP at 6 ug per reaction. NAT10 was also immunoprecipitated by rabbit anti-NAT10 antibody BL15900. For blotting immunoprecipitated NAT10, NBP2-32263 was used at 0.04 ug/ml. Detection: Chemiluminescence with an exposure time of 3 minutes.
- Submitted by
- Novus Biologicals (provider)
- Main image

- Experimental details
- Immunoprecipitation: NAT10 Antibody [NBP2-32263] - Detection of human NAT10 by western blot of immunoprecipitates. Samples: Whole cell lysate (0.5 or 1.0 mg per IP reaction; 20% of IP loaded) prepared using NETN buffer from 293T cells. Antibodies: Affinity purified rabbit anti-NAT10 antibody NBP2-32263 used for IP at 6 ug per reaction. NAT10 was also immunoprecipitated by another rabbit anti-NAT10 antibody. For blotting immunoprecipitated NAT10, NBP2-32263 was used at 0.04 ug/ml. Detection: Chemiluminescence with an exposure time of 3 minutes.
Supportive validation
- Submitted by
- Novus Biologicals (provider)
- Main image

- Experimental details
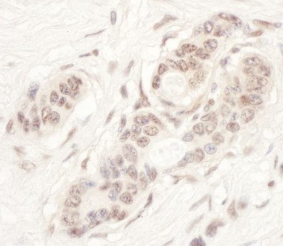
- Immunohistochemistry: NAT10 Antibody [NBP2-32263] - Sample: FFPE section of human ovarian carcinoma. Antibody: Affinity purified rabbit anti- NAT10 used at a dilution of 1:1,000 (1ug/ml). Detection: DAB. Counterstain: IHC Hematoxylin (blue).
- Submitted by
- Novus Biologicals (provider)
- Main image

- Experimental details
- Immunohistochemistry: NAT10 Antibody [NBP2-32263] - Sample: FFPE section of mouse plasmacytoma. Antibody: Affinity purified rabbit anti- NAT10 used at a dilution of 1:1,000 (1ug/ml). Detection: DAB. Counterstain: IHC Hematoxylin (blue).