Antibody data
- Antibody Data
- Antigen structure
- References [1]
- Comments [0]
- Validations
- Western blot [1]
- Immunohistochemistry [6]
Submit
Validation data
Reference
Comment
Report error
- Product number
- NBP2-49350 - Provider product page

- Provider
- Novus Biologicals
- Product name
- Rabbit Polyclonal alcohol dehydrogenase 5 Antibody
- Antibody type
- Polyclonal
- Description
- Immunogen affinity purified. Specificity of human alcohol dehydrogenase 5 antibody verified on a Protein Array containing target protein plus 383 other non-specific proteins.
- Reactivity
- Human
- Host
- Rabbit
- Isotype
- IgG
- Vial size
- 0.1 ml
- Storage
- Store at 4C short term. Aliquot and store at -20C long term. Avoid freeze-thaw cycles.
Submitted references Obesity significantly alters the human sperm proteome, with potential implications for fertility.
Pini T, Parks J, Russ J, Dzieciatkowska M, Hansen KC, Schoolcraft WB, Katz-Jaffe M
Journal of assisted reproduction and genetics 2020 Apr;37(4):777-787
Journal of assisted reproduction and genetics 2020 Apr;37(4):777-787
No comments: Submit comment
Supportive validation
- Submitted by
- Novus Biologicals (provider)
- Main image

- Experimental details
- Western Blot: alcohol dehydrogenase 5 Antibody [NBP2-49350] - Analysis in control (vector only transfected HEK293T lysate) and ADH5 over-expression lysate (Co-expressed with a C-terminal myc-DDK tag (3.1 kDa) in mammalian HEK293T cells).
Supportive validation
- Submitted by
- Novus Biologicals (provider)
- Main image

- Experimental details
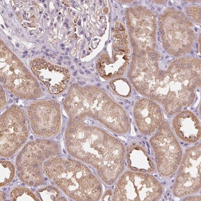
- Immunohistochemistry: alcohol dehydrogenase 5 Antibody [NBP2-49350] - Staining of human kidney shows moderate cytoplasmic positivity in cells in tubules.
- Submitted by
- Novus Biologicals (provider)
- Main image

- Experimental details
- Immunohistochemistry-Paraffin: alcohol dehydrogenase 5 Antibody [NBP2-49350] - Staining of human skeletal muscle shows low positivity in myocytes as expected.
- Submitted by
- Novus Biologicals (provider)
- Main image

- Experimental details
- Immunohistochemistry-Paraffin: alcohol dehydrogenase 5 Antibody [NBP2-49350] - Staining of human kidney shows moderate cytoplasmic positivity in cells in tubules.
- Submitted by
- Novus Biologicals (provider)
- Main image

- Experimental details
- Immunohistochemistry-Paraffin: alcohol dehydrogenase 5 Antibody [NBP2-49350] - Staining of human endometrium shows moderate cytoplasmic positivity in glandular cells.
- Submitted by
- Novus Biologicals (provider)
- Main image

- Experimental details
- Immunohistochemistry-Paraffin: alcohol dehydrogenase 5 Antibody [NBP2-49350] - Analysis in human endometrium and skeletal muscle tissues. Corresponding ADH5 RNA-seq data are presented for the same tissues.
- Submitted by
- Novus Biologicals (provider)
- Main image

- Experimental details
- Immunohistochemistry-Paraffin: alcohol dehydrogenase 5 Antibody [NBP2-49350] - Staining of human testis shows moderate to strong granular cytoplasmic positivity in Leydig cells.