Antibody data
- Antibody Data
- Antigen structure
- References [0]
- Comments [0]
- Validations
- Immunohistochemistry [1]
Submit
Validation data
Reference
Comment
Report error
- Product number
- PB9632 - Provider product page

- Provider
- Boster Biological Technology
- Product name
- Anti-HINT1 Antibody Picoband™
- Antibody type
- Polyclonal
- Description
- Polyclonal antibody for HINT1 detection. Host: Rabbit.Size: 100μg/vial. Tested applications: WB, IHC-P, ICC/IF, FCM. Reactive species: Human;Mouse;Rat. HINT1 information: Molecular Weight: 13802 MW; Subcellular Localization: Cytoplasm. Nucleus. Interaction with CDK7 leads to a more nuclear localization; Tissue Specificity: Widely expressed.
- Reactivity
- Human, Mouse, Rat
- Host
- Rabbit
- Vial size
- 100μg/vial
- Concentration
- Add 0.2ml of distilled water will yield a concentration of 500ug/ml.
- Storage
- At -20°C for one year. After reconstitution, at 4°C for one month. It can also be aliquoted and stored frozen at -20°C for a longer time. Avoid repeated freezing and thawing.
- Handling
- Add 0.2ml of distilled water will yield a concentration of 500ug/ml.
No comments: Submit comment
Supportive validation
- Submitted by
- Boster Biological Technology (provider)
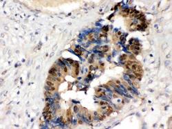
- Main image

- Experimental details
- Anti- HINT1 Picoband antibody, PB9632, IHC(P)IHC(P): Rat Kidney Tissue
- Additional image
