Antibody data
- Antibody Data
- Antigen structure
- References [0]
- Comments [0]
- Validations
- Western blot [1]
- Immunocytochemistry [1]
- Immunohistochemistry [1]
- Flow cytometry [1]
Submit
Validation data
Reference
Comment
Report error
- Product number
- F54529 - Provider product page

- Provider
- NSJ Bioreagents
- Product name
- HINT1 Antibody
- Antibody type
- Monoclonal
- Description
- This highly specific HINT1 antibody is suitable for use in Western blot/Flow cytometry/Immunohistochemistry/Immunofluorescence applications with human, mouse and rat samples.
- Reactivity
- Human, Mouse, Rat
- Host
- Mouse
- Conjugate
- Unconjugated
- Isotype
- IgG
- Antibody clone number
- 1500CT836.13.93
- Vial size
- 0.08 ml, 0.4 ml
- Concentration
- In 1X PBS, pH 7.4, with 0.09% sodium azide
- Storage
- Aliquot the HINT1 antibody and store frozen at -20oC or colder. Avoid repeated freeze-thaw cycles.
No comments: Submit comment
Supportive validation
- Submitted by
- NSJ Bioreagents (provider)
- Main image

- Experimental details
- Western blot testing of human 1) Jurkat, 2) Raji, 3) HepG2, 4) rat brain and 5) mouse liver lysate with HINT1 antibody. Expected molecular weight ~14 kDa.
Supportive validation
- Submitted by
- NSJ Bioreagents (provider)
- Main image

- Experimental details
- Immunofluorescent staining of fixed and permeabilized human U-2 OS cells with HINT1 antibody (green), DAPI nuclear stain (blue) and anti-Actin (red).
Supportive validation
- Submitted by
- NSJ Bioreagents (provider)
- Main image

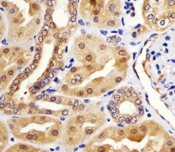
- Experimental details
- IHC testing of FFPE human kidney tissue with HINT1 antibody. HIER: steam section in pH6 citrate buffer for 20 min and allow to cool prior to staining.
Supportive validation
- Submitted by
- NSJ Bioreagents (provider)
- Main image

- Experimental details
- Flow cytometry testing of fixed and permeabilized human Jurkat cells with HINT1 antibody; Blue=isotype control, Green= HINT1 antibody.