Antibody data
- Antibody Data
- Antigen structure
- References [0]
- Comments [0]
- Validations
- Western blot [1]
- Immunohistochemistry [8]
Submit
Validation data
Reference
Comment
Report error
- Product number
- NBP2-34037 - Provider product page

- Provider
- Novus Biologicals
- Product name
- Rabbit Polyclonal enkurin Antibody
- Antibody type
- Polyclonal
- Description
- Immunogen affinity purified. Specificity of human enkurin antibody verified on a Protein Array containing target protein plus 383 other non-specific proteins.
- Reactivity
- Human
- Host
- Rabbit
- Isotype
- IgG
- Vial size
- 0.1 ml
- Storage
- Store at 4C short term. Aliquot and store at -20C long term. Avoid freeze-thaw cycles.
No comments: Submit comment
Supportive validation
- Submitted by
- Novus Biologicals (provider)
- Main image

- Experimental details
- Western Blot: enkurin Antibody [NBP2-34037] - Analysis in control (vector only transfected HEK293T lysate) and ENKUR over-expression lysate (Co-expressed with a C-terminal myc-DDK tag (3.1 kDa) in mammalian HEK293T cells).
Supportive validation
- Submitted by
- Novus Biologicals (provider)
- Main image

- Experimental details
- Immunohistochemistry-Paraffin: enkurin Antibody [NBP2-34037] - Staining of breast cancer.
- Submitted by
- Novus Biologicals (provider)
- Main image

- Experimental details
- Immunohistochemistry-Paraffin: enkurin Antibody [NBP2-34037] - Staining of liver.
- Submitted by
- Novus Biologicals (provider)
- Main image

- Experimental details
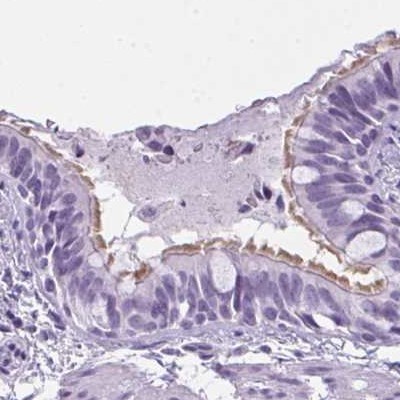
- Immunohistochemistry-Paraffin: enkurin Antibody [NBP2-34037] - Staining of human colon shows low expression as expected.
- Submitted by
- Novus Biologicals (provider)
- Main image

- Experimental details
- Immunohistochemistry-Paraffin: enkurin Antibody [NBP2-34037] - Staining of human fallopian tube shows high expression.
- Submitted by
- Novus Biologicals (provider)
- Main image

- Experimental details
- Immunohistochemistry-Paraffin: enkurin Antibody [NBP2-34037] - Staining in human fallopian tube and colon tissues using anti-ENKUR antibody. Corresponding ENKUR RNA-seq data are presented for the same tissues.
- Submitted by
- Novus Biologicals (provider)
- Main image

- Experimental details
- Immunohistochemistry-Paraffin: enkurin Antibody [NBP2-34037] - Staining of human bronchus, colon, fallopian tube and kidney using Anti-ENKUR antibody NBP2-34037 (A) shows similar protein distribution across tissues to independent antibody NBP1-89911 (B).
- Submitted by
- Novus Biologicals (provider)
- Main image

- Experimental details
- Immunohistochemistry-Paraffin: enkurin Antibody [NBP2-34037] - Staining of human bronchus.
- Submitted by
- Novus Biologicals (provider)
- Main image

- Experimental details
- Immunohistochemistry-Paraffin: enkurin Antibody [NBP2-34037] - Staining of human kidney.