Antibody data
- Antibody Data
- Antigen structure
- References [0]
- Comments [0]
- Validations
- Western blot [1]
- Immunohistochemistry [5]
Submit
Validation data
Reference
Comment
Report error
- Product number
- NBP1-84036 - Provider product page

- Provider
- Novus Biologicals
- Proper citation
- Novus Cat#NBP1-84036, RRID:AB_11030757
- Product name
- Rabbit Polyclonal TIMM17B Antibody
- Antibody type
- Polyclonal
- Description
- Immunogen affinity purified. Specificity of human TIMM17B antibody verified on a Protein Array containing target protein plus 383 other non-specific proteins.
- Reactivity
- Human
- Host
- Rabbit
- Isotype
- IgG
- Vial size
- 0.1 ml
- Storage
- Store at 4C short term. Aliquot and store at -20C long term. Avoid freeze-thaw cycles.
No comments: Submit comment
Supportive validation
- Submitted by
- Novus Biologicals (provider)
- Main image

- Experimental details
- Western Blot: TIMM17B Antibody [NBP1-84036] - Lane 1: Marker [kDa] 230, 130, 95, 72, 56, 36, 28, 17, 11. Lane 2: Human cell line RT-4. Lane 3: Human cell line U-251MG sp
Supportive validation
- Submitted by
- Novus Biologicals (provider)
- Main image

- Experimental details
- Immunohistochemistry-Paraffin: TIMM17B Antibody [NBP1-84036] - Staining of human urinary bladder shows moderate cytoplasmic positivity in urothelial cells.
- Submitted by
- Novus Biologicals (provider)
- Main image

- Experimental details
- Immunohistochemistry-Paraffin: TIMM17B Antibody [NBP1-84036] - Staining of human duodenum shows moderate cytoplasmic positivity in glandular cells.
- Submitted by
- Novus Biologicals (provider)
- Main image

- Experimental details
- Immunohistochemistry-Paraffin: TIMM17B Antibody [NBP1-84036] - Staining of human kidney shows moderate cytoplasmic positivity in cells in tubules.
- Submitted by
- Novus Biologicals (provider)
- Main image

- Experimental details
- Immunohistochemistry-Paraffin: TIMM17B Antibody [NBP1-84036] - Staining of human pancreas shows very weak cytoplasmic positivity in exocrine glandular cells.
- Submitted by
- Novus Biologicals (provider)
- Main image

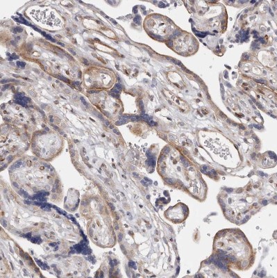
- Experimental details
- Immunohistochemistry-Paraffin: TIMM17B Antibody [NBP1-84036] - Staining of human placenta shows weak to moderate cytoplasmic positivity in trophoblastic cells.