Antibody data
- Antibody Data
- Antigen structure
- References [0]
- Comments [0]
- Validations
- Western blot [1]
- Immunocytochemistry [2]
- Immunohistochemistry [5]
Submit
Validation data
Reference
Comment
Report error
- Product number
- LS-C773236 - Provider product page

- Provider
- LSBio
- Product name
- FNIP1 Antibody (Atto 390) LS-C773236
- Antibody type
- Polyclonal
- Description
- Peptide Affinity Purified
- Reactivity
- Human, Mouse, Rat
- Host
- Rabbit
- Storage
- Store at -20°C.
No comments: Submit comment
Enhanced validation
- Submitted by
- LSBio (provider)
- Enhanced method
- Genetic validation
- Main image

- Experimental details
- Rabbit Anti-FNIP1 Antibody used in Western blot (WB) on Kidney
Supportive validation
- Submitted by
- LSBio (provider)
- Enhanced method
- Genetic validation
- Main image

- Experimental details
- Immunocytochemistry/Immunofluorescence analysis using Rabbit Anti-FNIP1 Polyclonal Antibody. Tissue: C2C12 Cells (Mouse Myoblast cell line). Species: Mouse. Fixation: 4% Formaldehyde for 15 min at RT. Primary Antibody: Rabbit Anti-FNIP1 Polyclonal Antibody at 1:100 for 60 min at RT. Secondary Antibody: Goat Anti-Rabbit ATTO 488 at 1:200 for 60 min at RT. Counterstain: Phalloidin Texas Red F-Actin stain; DAPI (blue) nuclear stain at 1:1000, 1:5000 for 60 min at RT, 5 min at RT. Localization: Cytoplasm. Magnification: 60X. (A) DAPI (blue) nuclear stain (B) Phalloidin Texas Red F-Actin stain (C) FNIP1 Antibody (D) Composite.
- Submitted by
- LSBio (provider)
- Main image

- Experimental details
- Immunocytochemistry/Immunofluorescence analysis using Rabbit Anti-FNIP1 Polyclonal Antibody. Tissue: C2C12 Cells (Mouse Myoblast cell line). Species: Mouse. Fixation: 4% Formaldehyde for 15 min at RT. Primary Antibody: Rabbit Anti-FNIP1 Polyclonal Antibody at 1:100 for 60 min at RT. Secondary Antibody: Goat Anti-Rabbit ATTO 488 at 1:200 for 60 min at RT. Counterstain: Phalloidin Texas Red F-Actin stain; DAPI (blue) nuclear stain at 1:1000, 1:5000 for 60 min at RT, 5 min at RT. Localization: Cytoplasm. Magnification: 60X. (A) DAPI (blue) nuclear stain (B) Phalloidin Texas Red F-Actin stain (C) FNIP1 Antibody (D) Composite.
Enhanced validation
- Submitted by
- LSBio (provider)
- Enhanced method
- Genetic validation
- Main image

- Experimental details
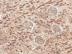
- Immunohistochemistry analysis using Rabbit Anti-FNP1 Polyclonal Antibody. Tissue: Renal Cell Carcinoma. Species: Human. Fixation: Formalin Fixed Paraffin-Embedded. Primary Antibody: Rabbit Anti-FNP1 Polyclonal Antibody at 1:50 for 30 min at RT. Counterstain: Hematoxylin. Magnification: 10X. HRP-DAB Detection.
- Submitted by
- LSBio (provider)
- Enhanced method
- Genetic validation
- Main image

- Experimental details
- Immunohistochemistry analysis using Rabbit Anti-FNP1 Polyclonal Antibody. Tissue: Renal Cell Carcinoma. Species: Human. Fixation: Formalin Fixed Paraffin-Embedded. Primary Antibody: Rabbit Anti-FNP1 Polyclonal Antibody at 1:50 for 30 min at RT. Counterstain: Hematoxylin. Magnification: 10X. HRP-DAB Detection.
- Submitted by
- LSBio (provider)
- Enhanced method
- Genetic validation
- Main image

- Experimental details
- Immunohistochemistry analysis using Rabbit Anti-FNP1 Polyclonal Antibody. Tissue: Renal Cell Carcinoma. Species: Human. Fixation: Formalin Fixed Paraffin-Embedded. Primary Antibody: Rabbit Anti-FNP1 Polyclonal Antibody at 1:50 for 30 min at RT. Counterstain: Hematoxylin. Magnification: 10X. HRP-DAB Detection.
- Submitted by
- LSBio (provider)
- Main image

- Experimental details
- Immunohistochemistry analysis using Rabbit Anti-FNP1 Polyclonal Antibody. Tissue: Renal Cell Carcinoma. Species: Human. Fixation: Formalin Fixed Paraffin-Embedded. Primary Antibody: Rabbit Anti-FNP1 Polyclonal Antibody at 1:50 for 30 min at RT. Counterstain: Hematoxylin. Magnification: 10X. HRP-DAB Detection.
- Submitted by
- LSBio (provider)
- Main image

- Experimental details
- Immunohistochemistry analysis using Rabbit Anti-FNP1 Polyclonal Antibody. Tissue: Renal Cell Carcinoma. Species: Human. Fixation: Formalin Fixed Paraffin-Embedded. Primary Antibody: Rabbit Anti-FNP1 Polyclonal Antibody at 1:50 for 30 min at RT. Counterstain: Hematoxylin. Magnification: 10X. HRP-DAB Detection.