11224-1-AP
antibody from Invitrogen Antibodies
Targeting: TUBA1C
bcm948, MGC10851, MGC14580, TUBA6
Antibody data
- Antibody Data
- Antigen structure
- References [0]
- Comments [0]
- Validations
- Western blot [12]
- Immunocytochemistry [4]
- Immunohistochemistry [6]
- Flow cytometry [1]
- Other assay [1]
Submit
Validation data
Reference
Comment
Report error
- Product number
- 11224-1-AP - Provider product page

- Provider
- Invitrogen Antibodies
- Product name
- alpha Tubulin Polyclonal Antibody
- Antibody type
- Polyclonal
- Antigen
- Other
- Reactivity
- Human, Mouse, Rat
- Host
- Rabbit
- Isotype
- IgG
- Vial size
- 150 µL
- Concentration
- 0.29 mg/mL
- Storage
- -20°C
No comments: Submit comment
Supportive validation
- Submitted by
- Invitrogen Antibodies (provider)
- Main image

- Experimental details
- Western blot of Hela cell with anti-Tubulin-Alpha (11224-1-AP) at various dilutions.
- Submitted by
- Invitrogen Antibodies (provider)
- Main image

- Experimental details
- Mouse eye tissue were subjected to SDS PAGE followed by western blot with 11224-1-AP (alpha Tubulin antibody) at dilution of 1:800 incubated at room temperature for 1.5 hours.
- Submitted by
- Invitrogen Antibodies (provider)
- Main image

- Experimental details
- Mouse colon tissue were subjected to SDS PAGE followed by western blot with 11224-1-AP (alpha Tubulin antibody) at dilution of 1:800 incubated at room temperature for 1.5 hours.
- Submitted by
- Invitrogen Antibodies (provider)
- Main image

- Experimental details
- Mouse liver tissue were subjected to SDS PAGE followed by western blot with 11224-1-AP (alpha Tubulin antibody) at dilution of 1:1500 incubated at room temperature for 1.5 hours.
- Submitted by
- Invitrogen Antibodies (provider)
- Main image

- Experimental details
- Mouse lung tissue were subjected to SDS PAGE followed by western blot with 11224-1-AP (alpha Tubulin antibody) at dilution of 1:1500 incubated at room temperature for 1.5 hours.
- Submitted by
- Invitrogen Antibodies (provider)
- Main image

- Experimental details
- Mouse brain tissue were subjected to SDS PAGE followed by western blot with 11224-1-AP (alpha Tubulin antibody) at dilution of 1:1000 incubated at room temperature for 1.5 hours.
- Submitted by
- Invitrogen Antibodies (provider)
- Main image

- Experimental details
- Mouse uterus tissue were subjected to SDS PAGE followed by western blot with 11224-1-AP (alpha Tubulin antibody) at dilution of 1:1000 incubated at room temperature for 1.5 hours.
- Submitted by
- Invitrogen Antibodies (provider)
- Main image

- Experimental details
- HeLa cells were subjected to SDS PAGE followed by western blot with 11224-1-AP (alpha Tubulin antibody at dilution of 1:8000 incubated at 4 degree celsius over night.
- Submitted by
- Invitrogen Antibodies (provider)
- Main image

- Experimental details
- Rat brain tissue were subjected to SDS PAGE followed by western blot with 11224-1-AP (alpha Tubulin antibody at dilution of 1:1000 incubated at 4 degree celsius over night.
- Submitted by
- Invitrogen Antibodies (provider)
- Main image

- Experimental details
- Western blot on multiple cells with anti-Tubulin-Alpha (11224-1-AP) at dilution 1:1,000.
- Submitted by
- Invitrogen Antibodies (provider)
- Main image

- Experimental details
- Various lysates were subjected to SDS PAGE followed by western blot with 11224-1-AP (alpha Tubulin antibody) at dilution of 1:8000 incubated at room temperature for 1.5 hours.
- Submitted by
- Invitrogen Antibodies (provider)
- Main image

- Experimental details
- Various lysates were subjected to SDS PAGE followed by western blot with 11224-1-AP (alpha Tubulin antibody) at dilution of 1:5000 incubated at room temperature for 1.5 hours.
Supportive validation
- Submitted by
- Invitrogen Antibodies (provider)
- Main image

- Experimental details
- Immunofluorescent analysis of MCF-7 cells using 11224-1-AP (alpha Tubulin antibody) at dilution of 1:25 and Rhodamine-Goat anti-Rabbit IgG.
- Submitted by
- Invitrogen Antibodies (provider)
- Main image

- Experimental details
- Immunofluorescent analysis of (-20°C Ethanol) fixed MCF-7 cells using 11224-1-AP (alpha Tubulin antibody) at dilution of 1:200 and Alexa Fluor 488-Conjugated AffiniPure Goat Anti-Rabbit IgG (H+L).
- Submitted by
- Invitrogen Antibodies (provider)
- Main image

- Experimental details
- Immunofluorescent analysis of (-20°C Ethanol) fixed HepG2 cells using 11224-1-AP (alpha Tubulin antibody) at dilution of 1:50 and Alexa Fluor 488-conjugated AffiniPure Goat Anti-Rabbit IgG (H+L).
- Submitted by
- Invitrogen Antibodies (provider)
- Main image

- Experimental details
- Immunofluorescent analysis of ( -20°C Ethanol ) fixed HepG2 cells using 11224-1-AP (alpha Tubulin antibody) at dilution of 1:50 and Alexa Fluor 488-conjugated AffiniPure Goat Anti-Rabbit IGG (H+L).
Supportive validation
- Submitted by
- Invitrogen Antibodies (provider)
- Main image

- Experimental details
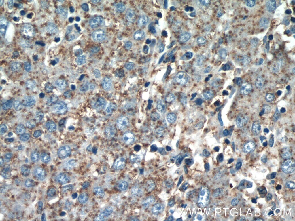
- Immunohistochemistry of paraffin-embedded human liver cancer using 11224-1-AP (alpha Tubulin antibody) at dilution of 1:50 (under 10x lens).
- Submitted by
- Invitrogen Antibodies (provider)
- Main image

- Experimental details
- Immunohistochemistry of paraffin-embedded human liver cancer using 11224-1-AP (alpha Tubulin antibody) at dilution of 1:50 (under 40x lens).
- Submitted by
- Invitrogen Antibodies (provider)
- Main image

- Experimental details
- Immunohistochemistry of paraffin-embedded human endometrial cancer using 11224-1-AP (alpha Tubulin antibody) at dilution of 1:50 (under 10x lens).
- Submitted by
- Invitrogen Antibodies (provider)
- Main image

- Experimental details
- Immunohistochemistry of paraffin-embedded human endometrial cancer using 11224-1-AP (alpha Tubulin antibody) at dilution of 1:50 (under 40x lens).
- Submitted by
- Invitrogen Antibodies (provider)
- Main image

- Experimental details
- Immunohistochemistry of paraffin-embedded human colon cancer using 11224-1-AP (alpha Tubulin antibody) at dilution of 1:50 (under 10x lens).
- Submitted by
- Invitrogen Antibodies (provider)
- Main image

- Experimental details
- Immunohistochemistry of paraffin-embedded human colon cancer using 11224-1-AP (alpha Tubulin antibody) at dilution of 1:50 (under 40x lens).
Supportive validation
- Submitted by
- Invitrogen Antibodies (provider)
- Main image

- Experimental details
- 1X10^6 HEK-293 cells were stained with 0.2ug alpha Tubulin antibody (11224-1-AP, red) and control antibody (blue). Fixed with 90% MeOH blocked with 3% BSA (30 min). FITC-Goat anti-Rabbit IGG with dilution 1:100.
Supportive validation
- Submitted by
- Invitrogen Antibodies (provider)
- Main image

- Experimental details
- IP result of anti-alpha Tubulin (IP:11224-1-AP, 3ug; Detection:11224-1-AP 1:1000) with HeLa cells lysate 5000ug.