PA5-52408
antibody from Invitrogen Antibodies
Targeting: ZBED9
Buster4, FLJ31087, KIAA1925, SCAND3, ZFP38-L, ZNF305P2, ZNF452
Antibody data
- Antibody Data
- Antigen structure
- References [0]
- Comments [0]
- Validations
- Immunocytochemistry [2]
- Immunohistochemistry [1]
Submit
Validation data
Reference
Comment
Report error
- Product number
- PA5-52408 - Provider product page

- Provider
- Invitrogen Antibodies
- Product name
- SCAND3 Polyclonal Antibody
- Antibody type
- Polyclonal
- Antigen
- Recombinant protein fragment
- Description
- Immunogen sequence: SAFSSEAKLG LSHSQLTEEL VASLHTENEL DQADKELENT LRAQYEENIE TGTDSSDIEE NLSVTPKVAE KSPPESRLRF LSCVVCEKEC TGVNSCISCD GNIHAICGVP SQHGTEGCGR QITCSLCYET STMK Highest antigen sequence identity to the following orthologs: Mouse - 23%, Rat - 24%.
- Reactivity
- Human
- Host
- Rabbit
- Isotype
- IgG
- Vial size
- 100 μL
- Concentration
- 0.1 mg/mL
- Storage
- Store at 4°C short term. For long term storage, store at -20°C, avoiding freeze/thaw cycles.
No comments: Submit comment
Supportive validation
- Submitted by
- Invitrogen Antibodies (provider)
- Main image

- Experimental details
- Immunofluorescent staining of SCAND3 in human cell line U-2 OS shows positivity in nucleus & nucleoli. Samples were probed using a SCAND3 Polyclonal Antibody (Product # PA5-52408).
- Submitted by
- Invitrogen Antibodies (provider)
- Main image

- Experimental details
- Immunofluorecent analysis of SCAND3 in human cell line U-2 OS using SCAND3 Polyclonal Antibody (Product # PA5-52408). Staining shows positivity in nucleus and nucleoli.
Supportive validation
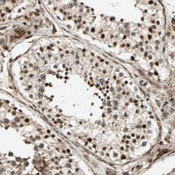
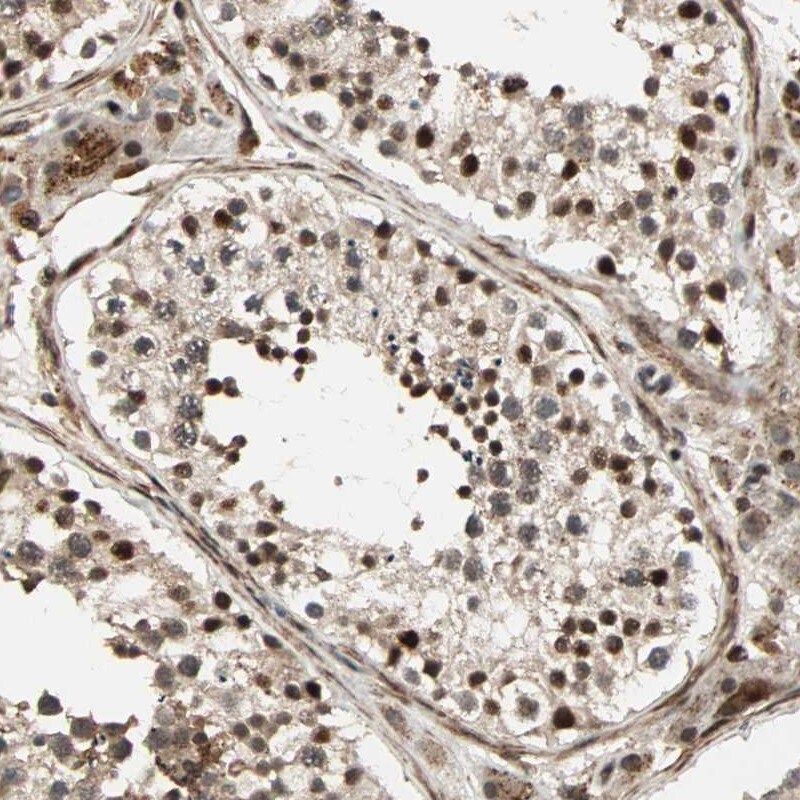
- Submitted by
- Invitrogen Antibodies (provider)
- Main image

- Experimental details
- Immunohistochemical analysis of SCAND3 in human testis using SCAND3 Polyclonal Antibody (Product # PA5-52408) shows moderate nuclear and cytoplasmic positivity in cells in seminiferous ducts.