Antibody data
- Antibody Data
- Antigen structure
- References [0]
- Comments [0]
- Validations
- Immunohistochemistry [1]
Submit
Validation data
Reference
Comment
Report error
- Product number
- TA317267 - Provider product page

- Provider
- OriGene
- Product name
- ENaC Gamma Goat Polyclonal (C-Terminus) Antibody
- Antibody type
- Polyclonal
- Description
- ENaC Gamma Goat Polyclonal (C-Terminus) Antibody
- Host
- Goat
- Conjugate
- Unconjugated
- Epitope
- SCNN1G
- Antibody clone number
- NULL
- Vial size
- 50 µg
- Concentration
- 0.5mg/ml
No comments: Submit comment
Supportive validation
- Submitted by
- OriGene (provider)
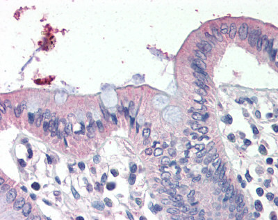
- Main image

- Experimental details
- Anti-SCNN1G antibody IHC of human colon. Immunohistochemistry of formalin-fixed, paraffin-embedded tissue after heat-induced antigen retrieval. Antibody concentration 4 ug/ml.
- Validation comment
- IHC