Antibody data
- Antibody Data
- Antigen structure
- References [0]
- Comments [0]
- Validations
- ELISA [1]
- Immunohistochemistry [1]
Submit
Validation data
Reference
Comment
Report error
- Product number
- H00007169-M07 - Provider product page

- Provider
- Abnova Corporation
- Proper citation
- Abnova Corporation Cat#H00007169-M07, RRID:AB_1112208
- Product name
- TPM2 monoclonal antibody (M07), clone 3C8
- Antibody type
- Monoclonal
- Description
- Mouse monoclonal antibody raised against a full-length recombinant TPM2.
- Antigen sequence
MDAIKKKMQMLKLDKENAIDRAEQAEADKKQAEDR
CKQLEEEQQALQKKLKGTEDEVEKYSESVKEAQEK
LEQAEKKATDAEADVASLNRRIQLVEEELDRAQER
LATALQKLEEAEKAADESERGMKVIENRAMKDEEK
MELQEMQLKEAKHIAEDSDRKYEEVARKLVILEGE
LERSEERAEVAESRARQLEEELRTMDQALKSLMAS
EEEYSTKEDKYEEEIKLLEEKLKEAETRAEFAERS
VAKLEKTIDDLEETLASAKEENVEIHQTLDQTLLE
LNNL- Isotype
- IgG
- Antibody clone number
- 3C8
- Storage
- Store at -20°C or lower. Aliquot to avoid repeated freezing and thawing.
No comments: Submit comment
Supportive validation
- Submitted by
- Abnova Corporation (provider)
- Main image

- Experimental details
- Detection limit for recombinant GST tagged TPM2 is approximately 3ng/ml as a capture antibody.
- Validation comment
- Sandwich ELISA (Recombinant protein)
- Protocol
- Protocol
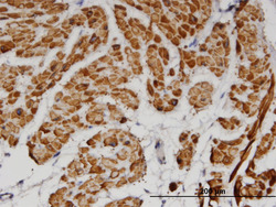
Supportive validation
- Submitted by
- Abnova Corporation (provider)
- Main image

- Experimental details
- Immunoperoxidase of monoclonal antibody to TPM2 on formalin-fixed paraffin-embedded human smooth muscle. [antibody concentration 3 ug/ml]
- Validation comment
- Immunohistochemistry (Formalin/PFA-fixed paraffin-embedded sections)
- Protocol
- Protocol