Antibody data
- Antibody Data
- Antigen structure
- References [0]
- Comments [0]
- Validations
- Western blot [1]
- Immunohistochemistry [1]
Submit
Validation data
Reference
Comment
Report error
- Product number
- AP50467PU-N - Provider product page

- Provider
- Acris Antibodies GmbH
- Proper citation
- Acris Antibodies GmbH Cat#AP50467PU-N, RRID:AB_11149000
- Product name
- anti C14orf166B (N-term)
- Antibody type
- Polyclonal
- Antigen
- KLH conjugated synthetic peptide between 23-52 amino acids from the N-terminal region of human C14orf166B
- Reactivity
- Human
- Host
- Rabbit
- Vial size
- 0.1 mg
- Concentration
- 0.25 mg/ml
No comments: Submit comment
Supportive validation
- Submitted by
- Acris Antibodies GmbH (provider)
- Main image

- Experimental details
- C14orf166B Antibody (N-term) (Cat. #AP50467PU-N) western blot analysis in NCI-H460 cell line lysates (35µg/lane).This demonstrates the C14orf166B antibody detected the C14orf166B protein (arrow).
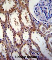
Supportive validation
- Submitted by
- Acris Antibodies GmbH (provider)
- Main image

- Experimental details
- C14orf166B Antibody (N-term) (Cat. #AP50467PU-N)immunohistochemistry analysis in formalin fixed and paraffin embedded human kidney tissue followed by peroxidase conjugation of the secondary antibody and DAB staining.This data demonstrates the use of C14orf166B Antibody (N-term) for immunohistochemistry. Clinical relevance has not been evaluated.