Antibody data
- Antibody Data
- Antigen structure
- References [0]
- Comments [0]
- Validations
- Western blot [1]
- Immunohistochemistry [8]
Submit
Validation data
Reference
Comment
Report error
- Product number
- NBP2-46455 - Provider product page

- Provider
- Novus Biologicals
- Product name
- Mouse Monoclonal ZNF69 Antibody
- Antibody type
- Monoclonal
- Description
- Affinity purified.
- Reactivity
- Human
- Host
- Mouse
- Isotype
- IgG
- Vial size
- 0.1 ml
- Concentration
- 1 mg/ml
- Storage
- Store at -20C. Avoid freeze-thaw cycles.
No comments: Submit comment
Supportive validation
- Submitted by
- Novus Biologicals (provider)
- Main image

- Experimental details
- Western Blot: ZNF69 Antibody (OTI3C3) [NBP2-46455] - HEK293T cells were transfected with the pCMV6-ENTRY control (Left lane) or pCMV6-ENTRY ZNF69 ( Right lane) cDNA for 48 hrs and lysed. Equivalent amounts of cell lysates (5 ug per lane) were separated by SDS-PAGE and immunoblotted with antiZNF69.(1:2000)
Supportive validation
- Submitted by
- Novus Biologicals (provider)
- Main image

- Experimental details
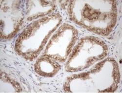
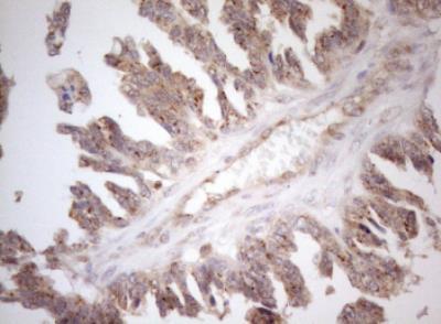
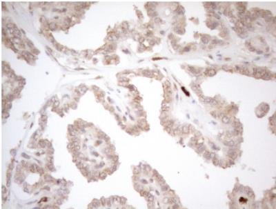
- Immunohistochemistry-Paraffin: ZNF69 Antibody (OTI3C3) [NBP2-46455] - Staining of paraffin-embedded Carcinoma of Human prostate tissue using anti-ZNF69 mouse monoclonal antibody.(Heat-induced epitope retrieval by 1mM EDTA in 10mM Tris buffer (pH8.5) at 120 degrees C for 3 min, 1:150)
- Submitted by
- Novus Biologicals (provider)
- Main image

- Experimental details
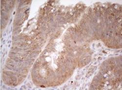
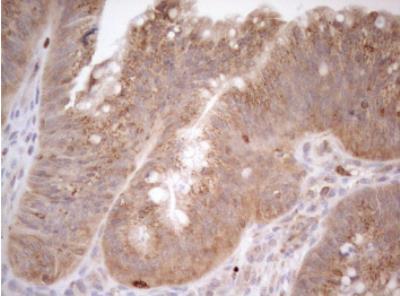
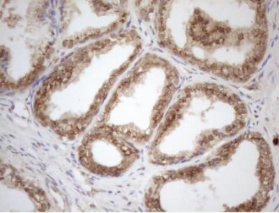
- Immunohistochemistry-Paraffin: ZNF69 Antibody (OTI3C3) [NBP2-46455] - Staining of paraffin-embedded Human prostate tissue using anti-ZNF69 mouse monoclonal antibody. (Heat-induced epitope retrieval by 1mM EDTA in 10mM Tris buffer (pH8.5) at 120 degrees C for 3 min, 1:150)
- Submitted by
- Novus Biologicals (provider)
- Main image

- Experimental details
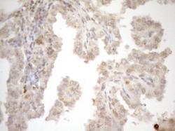
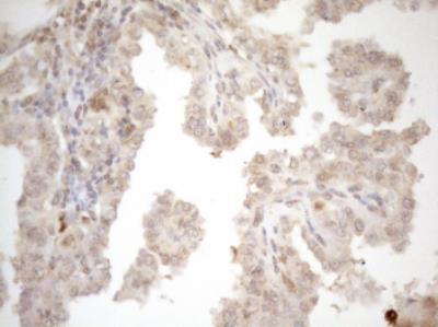
- Immunohistochemistry-Paraffin: ZNF69 Antibody (OTI3C3) [NBP2-46455] - Staining of paraffin-embedded Adenocarcinoma of Human endometrium tissue using anti-ZNF69 mouse monoclonal antibody.(Heat-induced epitope retrieval by 1mM EDTA in 10mM Tris buffer (pH8.5) at 120 degrees C for 3 min, (1:150)
- Submitted by
- Novus Biologicals (provider)
- Main image

- Experimental details
- Immunohistochemistry-Paraffin: ZNF69 Antibody (OTI3C3) [NBP2-46455] - Staining of paraffin-embedded Carcinoma of Human thyroid tissue using anti-ZNF69 mouse monoclonal antibody.(Heat-induced epitope retrieval by 1mM EDTA in 10mM Tris buffer (pH8.5) at 120 degrees C for 3 min, (1:150)
- Submitted by
- Novus Biologicals (provider)
- Main image

- Experimental details
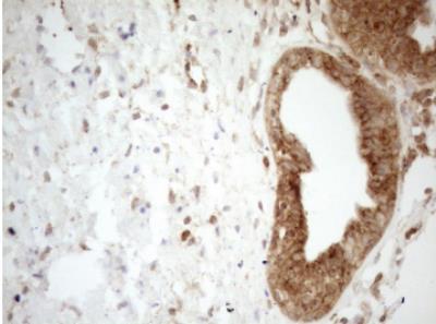
- Immunohistochemistry-Paraffin: ZNF69 Antibody (OTI3C3) [NBP2-46455] - Staining of paraffin-embedded Human thyroid tissue using anti-ZNF69 mouse monoclonal antibody.(Heat-induced epitope retrieval by 1mM EDTA in 10mM Tris buffer (pH8.5) at 120 degrees C for 3 min, 1:150)
- Submitted by
- Novus Biologicals (provider)
- Main image

- Experimental details
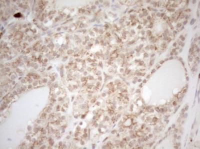
- Immunohistochemistry-Paraffin: ZNF69 Antibody (OTI3C3) [NBP2-46455] - Staining of paraffin-embedded Carcinoma of Human pancreas tissue using anti-ZNF69 mouse monoclonal antibody. (Heat-induced epitope retrieval by 1mM EDTA in 10mM Tris buffer (pH8.5) at 120 degrees C for 3 min, 1:150)
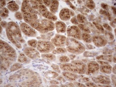
- Submitted by
- Novus Biologicals (provider)
- Main image

- Experimental details
- Immunohistochemistry-Paraffin: ZNF69 Antibody (OTI3C3) [NBP2-46455] - Staining of paraffin-embedded Human pancreas tissue using anti-ZNF69 mouse monoclonal antibody. (Heat-induced epitope retrieval by 1mM EDTA in 10mM Tris buffer (pH8.5) at 120 degrees C for 3 min, (1:150)
- Submitted by
- Novus Biologicals (provider)
- Main image

- Experimental details
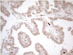
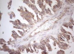
- Immunohistochemistry-Paraffin: ZNF69 Antibody (OTI3C3) [NBP2-46455] - Staining of paraffin-embedded Adenocarcinoma of Human ovary tissue using antiZNF69 mouse monoclonal antibody.(Heat-induced epitope retrieval by 1mM EDTA in 10mM Tris buffer (pH8.5) at 120 degrees C for 3 min, (1:150)