Antibody data
- Antibody Data
- Antigen structure
- References [1]
- Comments [0]
- Validations
- Western blot [2]
- Immunohistochemistry [1]
Submit
Validation data
Reference
Comment
Report error
- Product number
- NBP1-33042 - Provider product page

- Provider
- Novus Biologicals
- Proper citation
- Novus Cat#NBP1-33042, RRID:AB_2070338
- Product name
- Rabbit Polyclonal CARD10 Antibody
- Antibody type
- Polyclonal
- Description
- Immunogen affinity purified.
- Reactivity
- Human, Mouse
- Host
- Rabbit
- Isotype
- IgG
- Vial size
- 100 ul
- Storage
- Aliquot and store at -20C or -80C. Avoid freeze-thaw cycles.
Submitted references Comparison of an expanded ataxia interactome with patient medical records reveals a relationship between macular degeneration and ataxia.
Kahle JJ, Gulbahce N, Shaw CA, Lim J, Hill DE, Barabási AL, Zoghbi HY
Human molecular genetics 2011 Feb 1;20(3):510-27
Human molecular genetics 2011 Feb 1;20(3):510-27
No comments: Submit comment
Supportive validation
- Submitted by
- Novus Biologicals (provider)
- Main image

- Experimental details
- Western Blot: CARD10 Antibody [NBP1-33042] - Sample (30 ug of whole cell lysate) A: 293T 7.5% SDS PAGE; antibody diluted at 1:1000.
- Submitted by
- Novus Biologicals (provider)
- Main image

- Experimental details
- Western Blot: CARD10 Antibody [NBP1-33042] - Mouse tissue extract (50 ug) was separated by 5% SDS-PAGE, and the membrane was blotted with CARD10 antibody diluted at 1:500. The HRP-conjugated anti-rabbit IgG antibody (NBP2-19301) was used to detect the primary antibody, and the signal was developed with Trident ECL plus-Enhanced.
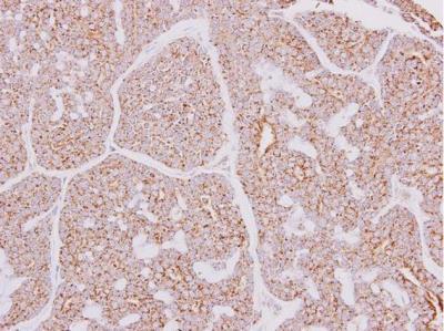
Supportive validation
- Submitted by
- Novus Biologicals (provider)
- Main image

- Experimental details
- Immunohistochemistry-Paraffin: CARD10 Antibody [NBP1-33042] - Paraffin-embedded human breast carcinoma. CARD10 antibody [N2C1], Internal diluted at 1:250.