Antibody data
- Antibody Data
 - Antigen structure
 - References [3]
 - Comments [0]
 - Validations
 - Immunohistochemistry [1]
 
Submit
Validation data
Reference
Comment
Report error
- Product number
 - PAB4515 - Provider product page

 - Provider
 - Abnova Corporation
 - Proper citation
 - Abnova Corporation Cat#PAB4515, RRID:AB_1575306
 - Product name
 - GRK1 polyclonal antibody
 - Antibody type
 - Polyclonal
 - Antigen
 - A synthetic peptide (conjugated with KLH) corresponding to C-terminus of human GRK1.
 - Reactivity
 - Human, Mouse
 - Host
 - Rabbit
 - Vial size
 - 400 µl
 - Storage
 - Store at 4°C. For long term storage store at -20°C.Aliquot to avoid repeated freezing and thawing.
 
Submitted references		Molecular forms of human rhodopsin kinase (GRK1).
				
Molecular cloning and localization of rhodopsin kinase in the mammalian pineal.
				
Defects in the rhodopsin kinase gene in the Oguchi form of stationary night blindness.
				
		
	
			Zhao X, Huang J, Khani SC, Palczewski K
The Journal of biological chemistry 1998 Feb 27;273(9):5124-31
		The Journal of biological chemistry 1998 Feb 27;273(9):5124-31
Molecular cloning and localization of rhodopsin kinase in the mammalian pineal.
			Zhao X, Haeseleer F, Fariss RN, Huang J, Baehr W, Milam AH, Palczewski K
Visual neuroscience 1997 Mar-Apr;14(2):225-32
		Visual neuroscience 1997 Mar-Apr;14(2):225-32
Defects in the rhodopsin kinase gene in the Oguchi form of stationary night blindness.
			Yamamoto S, Sippel KC, Berson EL, Dryja TP
Nature genetics 1997 Feb;15(2):175-8
		Nature genetics 1997 Feb;15(2):175-8
				No comments: Submit comment	
	
			
							
					Supportive validation
					
									
				
		- Submitted by
 - Abnova Corporation (provider)
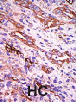
 - Main image
 
- Experimental details
 - Formalin-fixed and paraffin-embedded human hepatocellular carcinoma tissue reacted with GRK1 polyclonal antibody (Cat # PAB4515) , which was peroxidase-conjugated to the secondary antibody, followed by DAB staining . This data demonstrates the use of this antibody for immunohistochemistry; clinical relevance has not been evaluated . HC = hepatocarcinoma .
 - Validation comment
 - Immunohistochemistry (Formalin/PFA-fixed paraffin-embedded sections)