Antibody data
- Antibody Data
- Antigen structure
- References [0]
- Comments [0]
- Validations
- Immunohistochemistry [14]
Submit
Validation data
Reference
Comment
Report error
- Product number
- LS-C833390 - Provider product page

- Provider
- LSBio
- Product name
- ZNF433 Antibody LS-C833390
- Antibody type
- Polyclonal
- Description
- Affinity purification
- Reactivity
- Human, Mouse, Rat
- Host
- Rabbit
- Isotype
- IgG
- Storage
- Store at -20°C. Avoid freeze-thaw cycles.
No comments: Submit comment
Supportive validation
- Submitted by
- LSBio (provider)
- Enhanced method
- Genetic validation
- Main image

- Experimental details
- Immunohistochemistry of paraffin-embedded Rat brain using ZNF433 Polyclonal Antibody at dilution of 1:100 (40x lens).
- Submitted by
- LSBio (provider)
- Enhanced method
- Genetic validation
- Main image

- Experimental details
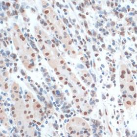
- Immunohistochemistry of paraffin-embedded Human lung cancer using ZNF433 Polyclonal Antibody at dilution of 1:100 (40x lens).
- Submitted by
- LSBio (provider)
- Enhanced method
- Genetic validation
- Main image

- Experimental details
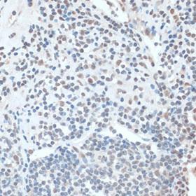
- Immunohistochemistry of paraffin-embedded Human appendix using ZNF433 Polyclonal Antibody at dilution of 1:100 (40x lens).
- Submitted by
- LSBio (provider)
- Enhanced method
- Genetic validation
- Main image

- Experimental details
- Immunohistochemistry of paraffin-embedded Human gastric cancer using ZNF433 Polyclonal Antibody at dilution of 1:100 (40x lens).
- Submitted by
- LSBio (provider)
- Enhanced method
- Genetic validation
- Main image

- Experimental details
- Immunohistochemistry of paraffin-embedded Human uterine cancer using ZNF433 Polyclonal Antibody at dilution of 1:100 (40x lens).
- Submitted by
- LSBio (provider)
- Enhanced method
- Genetic validation
- Main image

- Experimental details
- Immunohistochemistry of paraffin-embedded Mouse lung using ZNF433 Polyclonal Antibody at dilution of 1:100 (40x lens).
- Submitted by
- LSBio (provider)
- Enhanced method
- Genetic validation
- Main image

- Experimental details
- Immunohistochemistry of paraffin-embedded Human lung cancer using ZNF433 Polyclonal Antibody at dilution of 1:100 (40x lens).
- Submitted by
- LSBio (provider)
- Enhanced method
- Genetic validation
- Main image

- Experimental details
- Immunohistochemistry of paraffin-embedded Human uterine cancer using ZNF433 Polyclonal Antibody at dilution of 1:100 (40x lens).
- Submitted by
- LSBio (provider)
- Enhanced method
- Genetic validation
- Main image

- Experimental details
- Immunohistochemistry of paraffin-embedded Human lung cancer using ZNF433 Polyclonal Antibody at dilution of 1:100 (40x lens).
- Submitted by
- LSBio (provider)
- Enhanced method
- Genetic validation
- Main image

- Experimental details
- Immunohistochemistry of paraffin-embedded Human appendix using ZNF433 Polyclonal Antibody at dilution of 1:100 (40x lens).
- Submitted by
- LSBio (provider)
- Enhanced method
- Genetic validation
- Main image

- Experimental details
- Immunohistochemistry of paraffin-embedded Human gastric cancer using ZNF433 Polyclonal Antibody at dilution of 1:100 (40x lens).
- Submitted by
- LSBio (provider)
- Enhanced method
- Genetic validation
- Main image

- Experimental details
- Immunohistochemistry of paraffin-embedded Human uterine cancer using ZNF433 Polyclonal Antibody at dilution of 1:100 (40x lens).
- Submitted by
- LSBio (provider)
- Enhanced method
- Genetic validation
- Main image

- Experimental details
- Immunohistochemistry of paraffin-embedded Mouse lung using ZNF433 Polyclonal Antibody at dilution of 1:100 (40x lens).
- Submitted by
- LSBio (provider)
- Enhanced method
- Genetic validation
- Main image

- Experimental details
- Immunohistochemistry of paraffin-embedded Rat brain using ZNF433 Polyclonal Antibody at dilution of 1:100 (40x lens).