Antibody data
- Antibody Data
- Antigen structure
- References [0]
- Comments [0]
- Validations
- Immunohistochemistry [2]
Submit
Validation data
Reference
Comment
Report error
- Product number
- NB120-3529 - Provider product page

- Provider
- Novus Biologicals
- Proper citation
- Novus Cat#NB120-3529, RRID:AB_788300
- Product name
- Rabbit Polyclonal PMCA2 Antibody
- Antibody type
- Polyclonal
- Description
- Immunogen affinity purified. PMCA2 antibody detects calcium pump of the plasma membrane 2 (PMCA2 ATPase) from human and rat and porcine tissues and cells.
- Reactivity
- Human, Rat, Porcine
- Host
- Rabbit
- Isotype
- IgG
- Vial size
- 100ug
- Concentration
- 1 mg/ml
- Storage
- Store at -20C. Avoid freeze-thaw cycles.
No comments: Submit comment
Supportive validation
- Submitted by
- Novus Biologicals (provider)
- Main image

- Experimental details
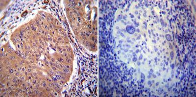
- Immunohistochemistry-Paraffin: PMCA2 Antibody [NB120-3529] - Cancer biopsies of deparaffinized Human cervical carcinoma tissue.
- Submitted by
- Novus Biologicals (provider)
- Main image

- Experimental details
- Immunohistochemistry-Paraffin: PMCA2 Antibody [NB120-3529] - Immunohistochemistry was performed on normal biopsies of deparaffinized Human brain tissue. To expose target proteins, heat induced antigen retrieval was performed using 10mM sodium citrate (pH6.0) buffer, microwaved for 8-15 minutes. Following antigen retrieval tissues were blocked in 3% BSA-PBS for 30 minutes at room temperature. Tissues were then probed at a dilution of 1:200 with a rabbit polyclonal antibody recognizing PMCA2 ATPase or without primary antibody (negative control) overnight at 4C in a humidified chamber. Tissues were washed extensively with PBST and endogenous peroxidase activity was quenched with a peroxidase suppressor. Tissues were counterstained with hematoxylin and prepped for mounting.