PA5-60663
antibody from Invitrogen Antibodies
Targeting: NOC2L
DKFZP564C186, NET15, NET7, NIR, PPP1R112
Antibody data
- Antibody Data
- Antigen structure
- References [0]
- Comments [0]
- Validations
- Immunocytochemistry [2]
- Immunohistochemistry [1]
Submit
Validation data
Reference
Comment
Report error
- Product number
- PA5-60663 - Provider product page

- Provider
- Invitrogen Antibodies
- Product name
- NOC2L Polyclonal Antibody
- Antibody type
- Polyclonal
- Antigen
- Recombinant protein fragment
- Description
- Immunogen sequence: LTVDEFLASG FDSESESESE NSPQAETREA REAARSPDKP GGSPSASRRK GRASEHKDQL SRLKDRDPEF YKFLQENDQS LLNFSDS Highest antigen sequence identity to the following orthologs: Mouse - 67%, Rat - 30%.
- Reactivity
- Human
- Host
- Rabbit
- Isotype
- IgG
- Vial size
- 100 μL
- Concentration
- 0.1 mg/mL
- Storage
- Store at 4°C short term. For long term storage, store at -20°C, avoiding freeze/thaw cycles.
No comments: Submit comment
Supportive validation
- Submitted by
- Invitrogen Antibodies (provider)
- Main image

- Experimental details
- Immunofluorescent staining of NOC2L in human cell line U-2 OS shows positivity in nucleoli. Samples were probed using a NOC2L Polyclonal Antibody (Product # PA5-60663).
- Submitted by
- Invitrogen Antibodies (provider)
- Main image

- Experimental details
- Immunofluorecent analysis of NOC2L in human cell line U-2 OS using NOC2L Polyclonal Antibody (Product # PA5-60663). Staining shows localization to nucleoli.
Supportive validation
- Submitted by
- Invitrogen Antibodies (provider)
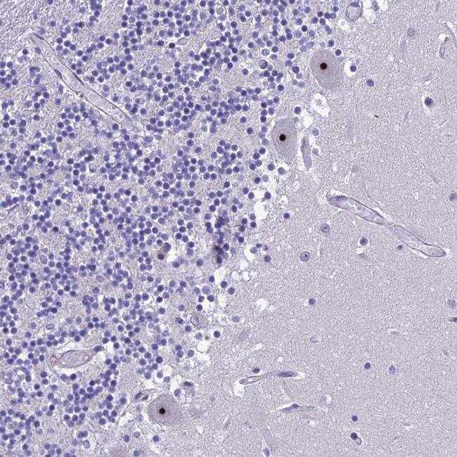
- Main image

- Experimental details
- Immunohistochemical analysis of NOC2L in human cerebellum using NOC2L Polyclonal Antibody (Product # PA5-60663) shows strong nucleolar positivity in Purkinje cells.