Antibody data
- Antibody Data
- Antigen structure
- References [0]
- Comments [0]
- Validations
- Western blot [1]
- Immunohistochemistry [1]
Submit
Validation data
Reference
Comment
Report error
- Product number
- LS-C762050 - Provider product page

- Provider
- LSBio
- Product name
- NOC2L Antibody (aa699-749) LS-C762050
- Antibody type
- Polyclonal
- Description
- Affinity purified
- Reactivity
- Human
- Host
- Rabbit
- Isotype
- IgG
- Storage
- Store at 2°C to 8°C for up to 1 year.
No comments: Submit comment
Enhanced validation
- Submitted by
- LSBio (provider)
- Enhanced method
- Genetic validation
- Main image

- Experimental details
- Detection of human NIR by western blot. Samples: Whole cell lysate (50 µg) from HeLa, HEK293T, and Jurkat cells prepared using NETN lysis buffer. Antibodies: Affinity purified rabbit anti-NIR antibody used for WB at 0.1 µg/ml. Detection: Chemiluminescence with an exposure time of 30 seconds.
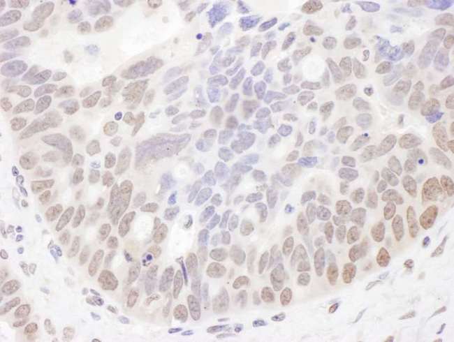
Supportive validation
- Submitted by
- LSBio (provider)
- Main image

- Experimental details
- Detection of human NIR by immunohistochemistry. Sample: FFPE section of human ovarian carcinoma. Antibody: Affinity purified rabbit anti- NIR used at a dilution of 1:5,000 (0.2µg/ml). Detection: DAB. Counterstain: IHC Hematoxylin (blue).