Antibody data
- Antibody Data
- Antigen structure
- References [0]
- Comments [0]
- Validations
- Western blot [1]
- Immunohistochemistry [10]
Submit
Validation data
Reference
Comment
Report error
- Product number
- LS-C784620 - Provider product page

- Provider
- LSBio
- Product name
- ALDH3A1 Antibody (clone 1B6, Carrier-free) LS-C784620
- Antibody type
- Monoclonal
- Description
- Purified from ascites.
- Reactivity
- Human
- Host
- Mouse
- Isotype
- IgG
- Antibody clone number
- 1B6
- Storage
- Store at -20°C. Avoid freeze-thaw cycles.
No comments: Submit comment
Enhanced validation
- Submitted by
- LSBio (provider)
- Enhanced method
- Genetic validation
- Main image

- Experimental details
- HEK293T cells were transfected with the pCMV6-ENTRY control (Left lane) or pCMV6-ENTRY ALDH3A1 (Right lane) cDNA for 48 hrs and lysed. Equivalent amounts of cell lysates (5 ug per lane) were separated by SDS-PAGE and immunoblotted with anti-ALDH3A1.
Supportive validation
- Submitted by
- LSBio (provider)
- Enhanced method
- Genetic validation
- Main image

- Experimental details
- IHC of paraffin-embedded liver tissue using anti-ALDH3A1 mouse monoclonal antibody. (Dilution 1:50).
- Submitted by
- LSBio (provider)
- Enhanced method
- Genetic validation
- Main image

- Experimental details
- IHC of paraffin-embedded Adenocarcinoma of ovary tissue using anti-ALDH3A1 mouse monoclonal antibody. (Dilution 1:50).
- Submitted by
- LSBio (provider)
- Enhanced method
- Genetic validation
- Main image

- Experimental details
- IHC of paraffin-embedded pancreas tissue using anti-ALDH3A1 mouse monoclonal antibody. (Dilution 1:50).
- Submitted by
- LSBio (provider)
- Enhanced method
- Genetic validation
- Main image

- Experimental details
- IHC of paraffin-embedded prostate tissue using anti-ALDH3A1 mouse monoclonal antibody. (Dilution 1:50).
- Submitted by
- LSBio (provider)
- Enhanced method
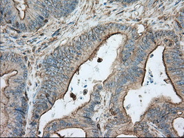
- Genetic validation
- Main image

- Experimental details
- IHC of paraffin-embedded Adenocarcinoma of colon tissue using anti-ALDH3A1 mouse monoclonal antibody. (Dilution 1:50).
- Submitted by
- LSBio (provider)
- Main image

- Experimental details
- IHC of paraffin-embedded Adenocarcinoma of colon tissue using anti-ALDH3A1 mouse monoclonal antibody. (Dilution 1:50).
- Submitted by
- LSBio (provider)
- Main image

- Experimental details
- IHC of paraffin-embedded liver tissue using anti-ALDH3A1 mouse monoclonal antibody. (Dilution 1:50).
- Submitted by
- LSBio (provider)
- Main image

- Experimental details
- IHC of paraffin-embedded Adenocarcinoma of ovary tissue using anti-ALDH3A1 mouse monoclonal antibody. (Dilution 1:50).
- Submitted by
- LSBio (provider)
- Main image

- Experimental details
- IHC of paraffin-embedded pancreas tissue using anti-ALDH3A1 mouse monoclonal antibody. (Dilution 1:50).
- Submitted by
- LSBio (provider)
- Main image

- Experimental details
- IHC of paraffin-embedded prostate tissue using anti-ALDH3A1 mouse monoclonal antibody. (Dilution 1:50).