Antibody data
- Antibody Data
- Antigen structure
- References [0]
- Comments [0]
- Validations
- Immunocytochemistry [1]
- Immunohistochemistry [1]
Submit
Validation data
Reference
Comment
Report error
- Product number
- PA5-58419 - Provider product page

- Provider
- Invitrogen Antibodies
- Product name
- TTC17 Polyclonal Antibody
- Antibody type
- Polyclonal
- Antigen
- Recombinant protein fragment
- Description
- Immunogen sequence: DQPVRYHRGD IFENVDYVQF GEDSSTSSMM SVNFDVQSNQ SDINDSVKSS PVAHSILWIW GRDSDAYRDK QHILWPKRAD CTESYP Highest antigen sequence identity to the following orthologs: Mouse - 88%, Rat - 88%.
- Reactivity
- Human
- Host
- Rabbit
- Isotype
- IgG
- Vial size
- 100 μL
- Concentration
- 0.3 mg/mL
- Storage
- Store at 4°C short term. For long term storage, store at -20°C, avoiding freeze/thaw cycles.
No comments: Submit comment
Supportive validation
- Submitted by
- Invitrogen Antibodies (provider)
- Main image

- Experimental details
- Immunofluorecent analysis of TTC17 in human cell line U-251 MG using TTC17 Polyclonal Antibody (Product # PA5-58419). Staining shows localization to plasma membrane.
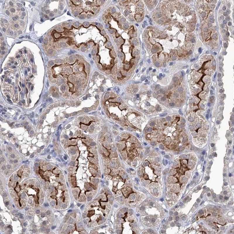
Supportive validation
- Submitted by
- Invitrogen Antibodies (provider)
- Main image

- Experimental details
- Immunohistochemical analysis of TTC17 in human kidney using TTC17 Polyclonal Antibody (Product # PA5-58419) shows strong membranous positivity in cells in tubules.