Antibody data
- Antibody Data
- Antigen structure
- References [1]
- Comments [0]
- Validations
- Immunohistochemistry [1]
Submit
Validation data
Reference
Comment
Report error
- Product number
- NBP1-83816 - Provider product page

- Provider
- Novus Biologicals
- Proper citation
- Novus Cat#NBP1-83816, RRID:AB_11017841
- Product name
- Rabbit Polyclonal TTC17 Antibody
- Antibody type
- Polyclonal
- Description
- Immunogen affinity purified. Specificity of human TTC17 antibody verified on a Protein Array containing target protein plus 383 other non-specific proteins.
- Reactivity
- Human
- Host
- Rabbit
- Isotype
- IgG
- Vial size
- 0.1 ml
- Storage
- Store at 4C short term. Aliquot and store at -20C long term. Avoid freeze-thaw cycles.
Submitted references C2orf62 and TTC17 are involved in actin organization and ciliogenesis in zebrafish and human.
Bontems F, Fish RJ, Borlat I, Lembo F, Chocu S, Chalmel F, Borg JP, Pineau C, Neerman-Arbez M, Bairoch A, Lane L
PloS one 2014;9(1):e86476
PloS one 2014;9(1):e86476
No comments: Submit comment
Supportive validation
- Submitted by
- Novus Biologicals (provider)
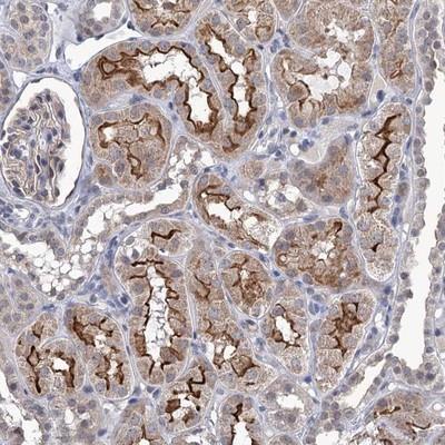
- Main image

- Experimental details
- Immunohistochemistry-Paraffin: TTC17 Antibody [NBP1-83816] - Staining of human kidney shows strong membranous positivity in cells in tubules.