Antibody data
- Antibody Data
- Antigen structure
- References [0]
- Comments [0]
- Validations
- Immunohistochemistry [3]
Submit
Validation data
Reference
Comment
Report error
- Product number
- PA5-90351 - Provider product page

- Provider
- Invitrogen Antibodies
- Product name
- MANBA Polyclonal Antibody
- Antibody type
- Polyclonal
- Antigen
- Recombinant full-length protein
- Description
- Immunogen sequence: AAELSYSLRG NWSICNGNGS LELPGAVPGC VHSALFQQGL IQDSYYRFND LNYRWVSLDN WTYSKEFKIP FEISKWQKVN LILEGVDTVS KILFNEVTIG ETDNMFNRYS FDITNVVRDV NSIELRFQSA VLYAAQQSKA HTRYQVPPDC PPLVQKGECH VNFVRKEQCS FSWDWGPSFP TQGIWKDVRI EAYNICHLNY FTFSPIYDKS AQEWNLEIES TFDVVSSKPV GGQVIVAIPK LQTQQTYSIE LQPGKRIVEL FVNISKNITV ETWWPHGHGN QTG; Positive Samples: Mouse lung, Mouse testis; Cellular Location: Lysosome
- Reactivity
- Human, Mouse
- Host
- Rabbit
- Isotype
- IgG
- Vial size
- 100 μL
- Concentration
- 1.2 mg/mL
- Storage
- -20°C, Avoid Freeze/Thaw Cycles
No comments: Submit comment
Supportive validation
- Submitted by
- Invitrogen Antibodies (provider)
- Main image

- Experimental details
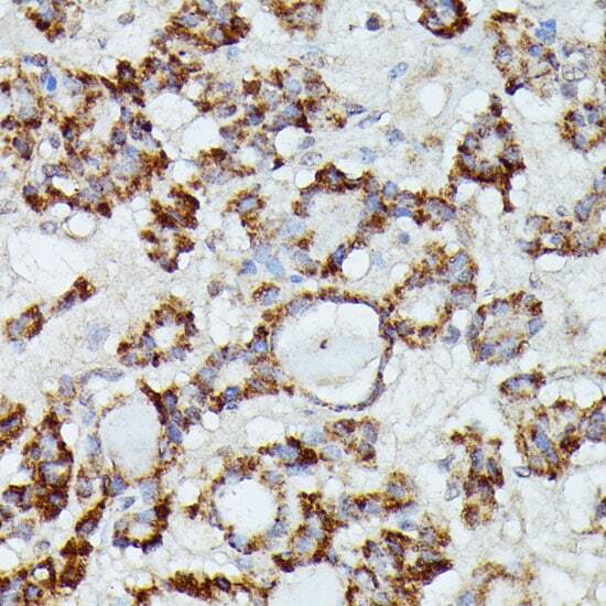
- Immunohistochemistry analysis of MANBA in paraffin-embedded human liver cancer. Samples were incubated with MANBA Polyclonal antibody (Product # PA5-90351) using a dilution of 1:100 (40x lens). Perform microwave antigen retrieval with 10 mM PBS buffer pH 7.2 before commencing with IHC staining protocol.
- Submitted by
- Invitrogen Antibodies (provider)
- Main image

- Experimental details
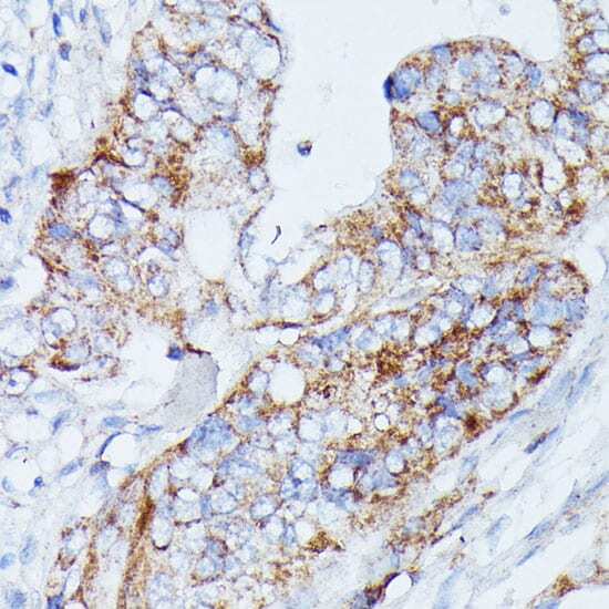
- Immunohistochemistry analysis of MANBA in paraffin-embedded human thyroid cancer. Samples were incubated with MANBA Polyclonal antibody (Product # PA5-90351) using a dilution of 1:100 (40x lens). Perform microwave antigen retrieval with 10 mM PBS buffer pH 7.2 before commencing with IHC staining protocol.
- Submitted by
- Invitrogen Antibodies (provider)
- Main image

- Experimental details
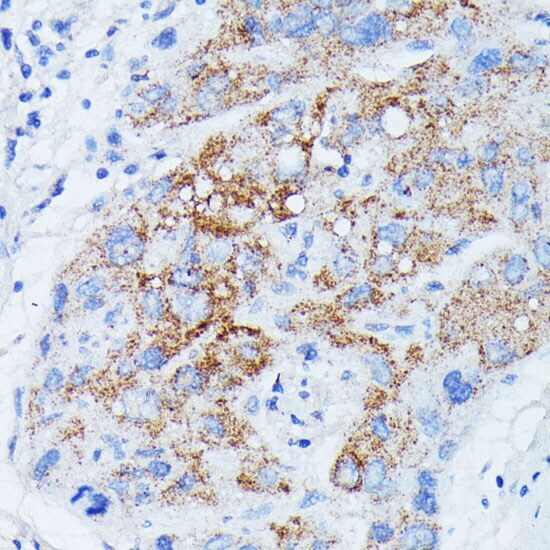
- Immunohistochemistry analysis of MANBA in paraffin-embedded human colon carcinoma. Samples were incubated with MANBA Polyclonal antibody (Product # PA5-90351) using a dilution of 1:100 (40x lens). Perform microwave antigen retrieval with 10 mM PBS buffer pH 7.2 before commencing with IHC staining protocol.