Antibody data
- Antibody Data
- Antigen structure
- References [0]
- Comments [0]
- Validations
- Immunocytochemistry [1]
- Immunohistochemistry [4]
Submit
Validation data
Reference
Comment
Report error
- Product number
- GTX106430 - Provider product page

- Provider
- GeneTex
- Proper citation
- GeneTex Cat#GTX106430, RRID:AB_1949618
- Product name
- AKAP10 antibody [C3], C-term
- Antibody type
- Polyclonal
- Reactivity
- Human, Mouse, Rat
- Host
- Rabbit
No comments: Submit comment
Supportive validation
- Submitted by
- GeneTex (provider)
- Main image

- Experimental details
- Immunofluorescence analysis of methanol-fixed HeLa, using AKAP10(GTX106430) antibody at 1:500 dilution.
Supportive validation
- Submitted by
- GeneTex (provider)
- Main image

- Experimental details
- Immunohistochemical analysis of paraffin-embedded human gastric cancer, using AKAP10(GTX106430) antibody at 1:100 dilution.
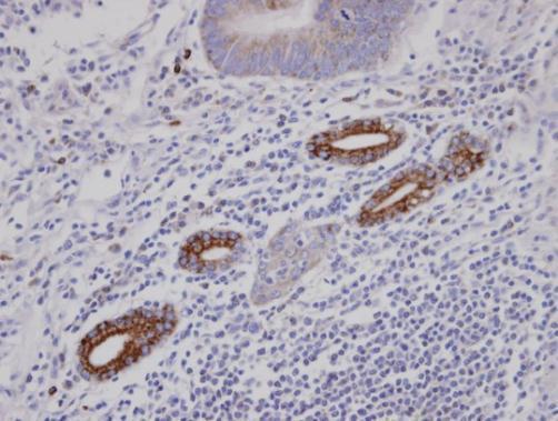
- Submitted by
- GeneTex (provider)
- Main image

- Experimental details
- Immunohistochemical analysis of paraffin-embedded human OVCAR3, using AKAP10(GTX106430) antibody at 1:100 dilution.
- Submitted by
- GeneTex (provider)
- Main image

- Experimental details
- AKAP10 antibody [C3], C-term detects AKAP10 protein at cytoplasm in rat liver by immunohistochemical analysis. Sample: Paraffin-embedded rat liver. AKAP10 antibody [C3], C-term (GTX106430) diluted at 1:100.
- Submitted by
- GeneTex (provider)
- Main image

- Experimental details
- AKAP10 antibody [C3], C-term detects AKAP10 protein at cytoplasm in mouse brain by immunohistochemical analysis. Sample: Paraffin-embedded mouse brain. AKAP10 antibody [C3], C-term (GTX106430) diluted at 1:100.