Antibody data
- Antibody Data
- Antigen structure
- References [0]
- Comments [0]
- Validations
- Western blot [1]
- Immunohistochemistry [1]
Submit
Validation data
Reference
Comment
Report error
- Product number
- NBP2-55905 - Provider product page

- Provider
- Novus Biologicals
- Product name
- Rabbit Polyclonal WDR83OS Antibody
- Antibody type
- Polyclonal
- Description
- Affinity purified. Specificity of human C19orf56 antibody verified on a Protein Array containing target protein plus 383 other non-specific proteins.
- Reactivity
- Human
- Host
- Rabbit
- Isotype
- IgG
- Vial size
- 100 ul
- Storage
- Store at 4C short term. Aliquot and store at -20C long term. Avoid freeze-thaw cycles.
No comments: Submit comment
Supportive validation
- Submitted by
- Novus Biologicals (provider)
- Main image

- Experimental details
- Western Blot: C19orf56 Antibody [NBP2-55905] - Western blot analysis in human cell line RT-4 and human cell line U-251 MG.
Supportive validation
- Submitted by
- Novus Biologicals (provider)
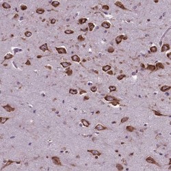
- Main image

- Experimental details
- Immunohistochemistry-Paraffin: C19orf56 Antibody [NBP2-55905] - Staining of human hippocampus shows strong cytoplasmic positivity in neuronal cells.