Antibody data
- Antibody Data
- Antigen structure
- References [2]
- Comments [0]
- Validations
- Western blot [1]
- Immunocytochemistry [2]
- Immunohistochemistry [7]
- Other assay [1]
Submit
Validation data
Reference
Comment
Report error
- Product number
- PA5-66788 - Provider product page

- Provider
- Invitrogen Antibodies
- Product name
- WDR83OS Polyclonal Antibody
- Antibody type
- Polyclonal
- Antigen
- Recombinant protein fragment
- Description
- Immunogen sequence: MSTNNMSDPRR PNKVLRYKPP PSECNPA Highest antigen sequence identity to the following orthologs - mouse 100%, rat 100%.
- Reactivity
- Human
- Host
- Rabbit
- Isotype
- IgG
- Vial size
- 100 μL
- Concentration
- 0.1 mg/mL
- Storage
- Store at 4°C short term. For long term storage, store at -20°C, avoiding freeze/thaw cycles.
Submitted references Substrate-driven assembly of a translocon for multipass membrane proteins.
Transmembrane insertases and N-glycosylation critically determine synthesis, trafficking, and activity of the nonselective cation channel TRPC6.
Sundaram A, Yamsek M, Zhong F, Hooda Y, Hegde RS, Keenan RJ
Nature 2022 Nov;611(7934):167-172
Nature 2022 Nov;611(7934):167-172
Transmembrane insertases and N-glycosylation critically determine synthesis, trafficking, and activity of the nonselective cation channel TRPC6.
Talbot BE, Vandorpe DH, Stotter BR, Alper SL, Schlondorff JS
The Journal of biological chemistry 2019 Aug 23;294(34):12655-12669
The Journal of biological chemistry 2019 Aug 23;294(34):12655-12669
No comments: Submit comment
Supportive validation
- Submitted by
- Invitrogen Antibodies (provider)
- Main image

- Experimental details
- Western blot analysis of WDR83OS in human cell line RT-4 and human cell line U-251 MG. Samples were probed using a WDR83OS Polyclonal Antibody (Product # PA5-66788).
Supportive validation
- Submitted by
- Invitrogen Antibodies (provider)
- Main image

- Experimental details
- Immunofluorescent staining of WDR83OS in human cell line U-2 OS shows localization to nuclear membrane and endoplasmic reticulum. Samples were probed using a WDR83OS Polyclonal Antibody (Product # PA5-66788).
- Submitted by
- Invitrogen Antibodies (provider)
- Main image

- Experimental details
- Immunofluorescent staining of WDR83OS in human cell line U-2 OS shows localization to nuclear membrane and endoplasmic reticulum. Samples were probed using a WDR83OS Polyclonal Antibody (Product # PA5-66788).
Supportive validation
- Submitted by
- Invitrogen Antibodies (provider)
- Main image

- Experimental details
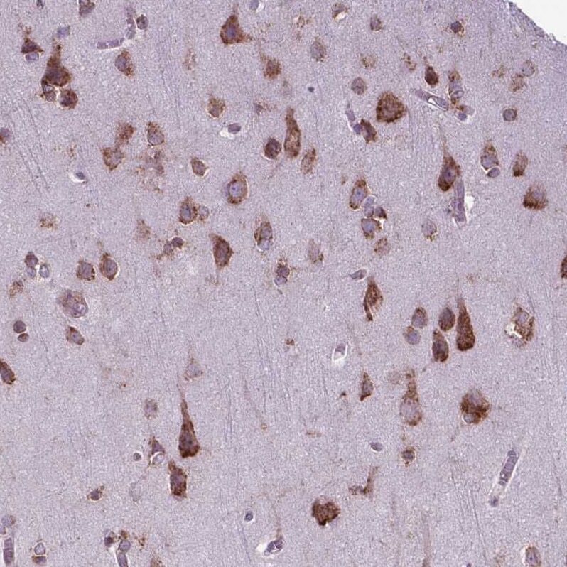
- Immunohistochemical analysis of WDR83OS in human Cerebral cortex using WDR83OS Polyclonal Antibody (Product # PA5-66788) shows moderate membranous and cytoplasmic positivity in neuronal cells.
- Submitted by
- Invitrogen Antibodies (provider)
- Main image

- Experimental details
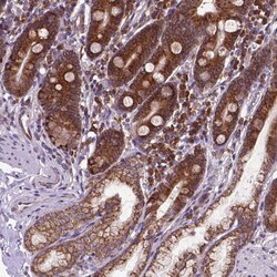
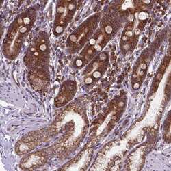
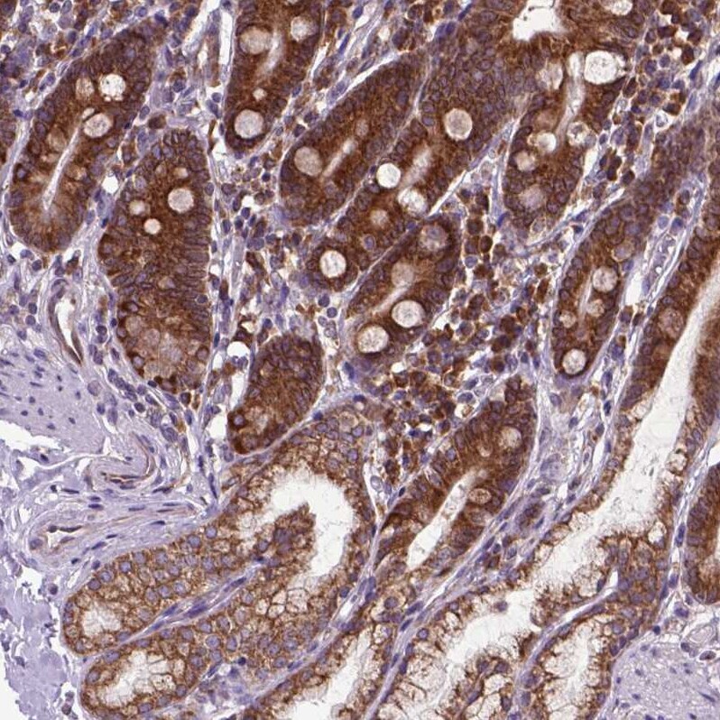
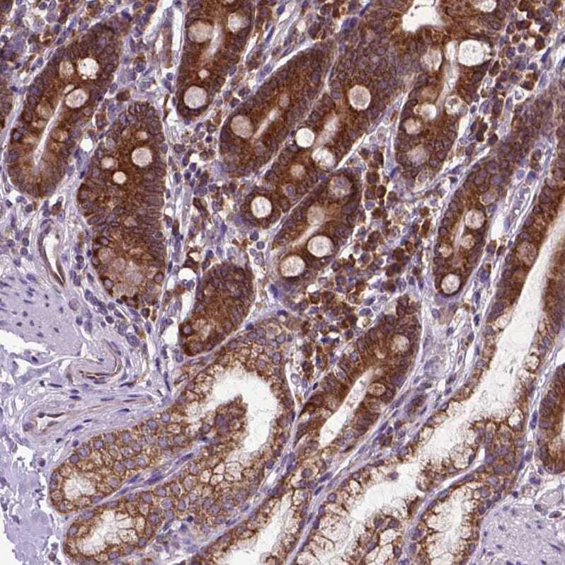
- Immunohistochemical analysis of WDR83OS in human Duodenum using WDR83OS Polyclonal Antibody (Product # PA5-66788) shows moderate membranous and cytoplasmic positivity in glandular cells.
- Submitted by
- Invitrogen Antibodies (provider)
- Main image

- Experimental details
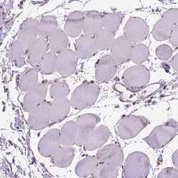
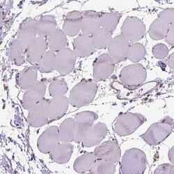
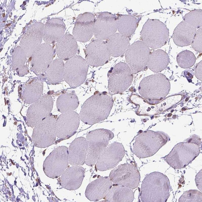
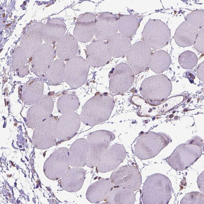
- Immunohistochemical analysis of WDR83OS in human Skeletal muscle using WDR83OS Polyclonal Antibody (Product # PA5-66788) shows very weak membranous and cytoplasmic positivity in myocytes.
- Submitted by
- Invitrogen Antibodies (provider)
- Main image

- Experimental details
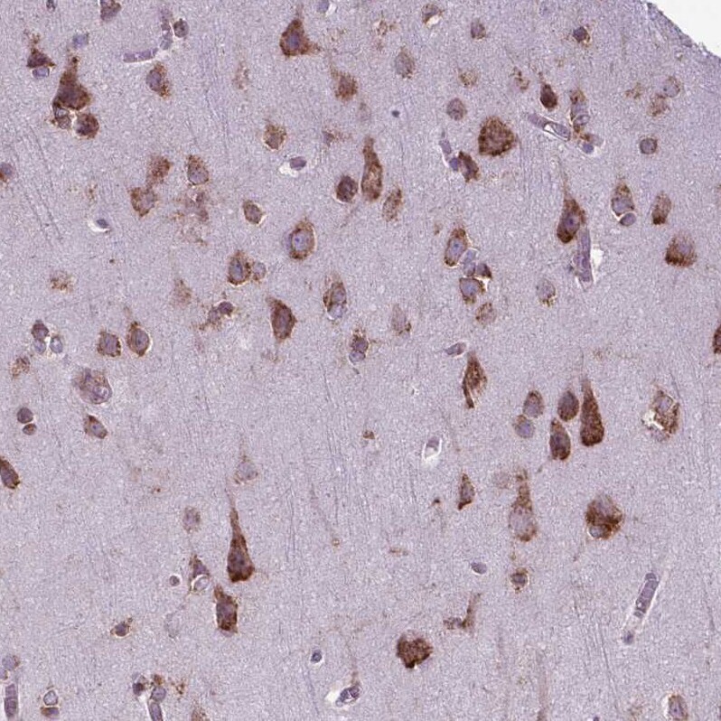
- Immunohistochemical staining of WDR83OS in human hippocampus using WDR83OS Polyclonal Antibody (Product # PA5-66788) shows strong cytoplasmic positivity in neuronal cells.
- Submitted by
- Invitrogen Antibodies (provider)
- Main image

- Experimental details
- Immunohistochemical analysis of WDR83OS in human Cerebral cortex using WDR83OS Polyclonal Antibody (Product # PA5-66788) shows moderate membranous and cytoplasmic positivity in neuronal cells.
- Submitted by
- Invitrogen Antibodies (provider)
- Main image

- Experimental details
- Immunohistochemical analysis of WDR83OS in human Duodenum using WDR83OS Polyclonal Antibody (Product # PA5-66788) shows moderate membranous and cytoplasmic positivity in glandular cells.
- Submitted by
- Invitrogen Antibodies (provider)
- Main image

- Experimental details
- Immunohistochemical analysis of WDR83OS in human Skeletal muscle using WDR83OS Polyclonal Antibody (Product # PA5-66788) shows very weak membranous and cytoplasmic positivity in myocytes.
Supportive validation
- Submitted by
- Invitrogen Antibodies (provider)
- Main image

- Experimental details
- NULL