NBP1-60075
antibody from Novus Biologicals
Targeting: TMEM8B
C9orf127, FP588, LINC00950, NAG-5, NGX6, NGX6a
Antibody data
- Antibody Data
- Antigen structure
- References [0]
- Comments [0]
- Validations
- Western blot [1]
- Immunohistochemistry [1]
Submit
Validation data
Reference
Comment
Report error
- Product number
- NBP1-60075 - Provider product page

- Provider
- Novus Biologicals
- Product name
- Rabbit Polyclonal NGX6 Antibody
- Antibody type
- Polyclonal
- Description
- Immunogen affinity purified.
- Reactivity
- Human
- Host
- Rabbit
- Isotype
- IgG
- Vial size
- 100 ul
- Storage
- Store at -20C. Avoid freeze-thaw cycles.
No comments: Submit comment
Supportive validation
- Submitted by
- Novus Biologicals (provider)
- Main image

- Experimental details
- Western Blot: NGX6 Antibody [NBP1-60075] - HepG2 cell lysate, Antibody Titration: 0.2-1 ug/ml
Supportive validation
- Submitted by
- Novus Biologicals (provider)
- Main image

- Experimental details
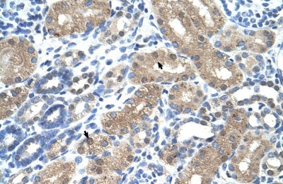
- Immunohistochemistry-Paraffin: NGX6 Antibody [NBP1-60075] - Human kidney Tissue, antibody concentration 4-8ug/ml. Cells with positive label: renal corpuscle cells (indicated with arrows) 400X magnification.