PA5-58129
antibody from Invitrogen Antibodies
Targeting: ARMC4
CILD23, DKFZP434P1735, FLJ10376, FLJ10817, gudu
Antibody data
- Antibody Data
- Antigen structure
- References [0]
- Comments [0]
- Validations
- Immunocytochemistry [1]
- Immunohistochemistry [5]
Submit
Validation data
Reference
Comment
Report error
- Product number
- PA5-58129 - Provider product page

- Provider
- Invitrogen Antibodies
- Product name
- ARMC4 Polyclonal Antibody
- Antibody type
- Polyclonal
- Antigen
- Recombinant protein fragment
- Description
- Immunogen sequence: FSEDQQKEKD QLGKAPKKEE AAALRKDISG SDKRSLEKNQ INFWRNQMTK RWEPSLNWKT TVNYKGKGSA KEIQEDKHTG KLEKPRPSVS HG Highest antigen sequence identity to the following orthologs: Mouse - 44%, Rat - 47%.
- Reactivity
- Human
- Host
- Rabbit
- Isotype
- IgG
- Vial size
- 100 μL
- Concentration
- 0.5 mg/mL
- Storage
- Store at 4°C short term. For long term storage, store at -20°C, avoiding freeze/thaw cycles.
No comments: Submit comment
Supportive validation
- Submitted by
- Invitrogen Antibodies (provider)
- Main image

- Experimental details
- Immunofluorescent staining of ARMC4 in human cell line A-431 shows positivity in nucleus. Samples were probed using an ARMC4 Polyclonal Antibody (Product # PA5-58129).
Supportive validation
- Submitted by
- Invitrogen Antibodies (provider)
- Main image

- Experimental details
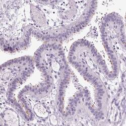
- Immunohistochemical analysis of ARMC4 in human fallopian tube using ARMC4 Polyclonal Antibody (Product # PA5-58129) shows moderate positivity in cilia of glandular cells.
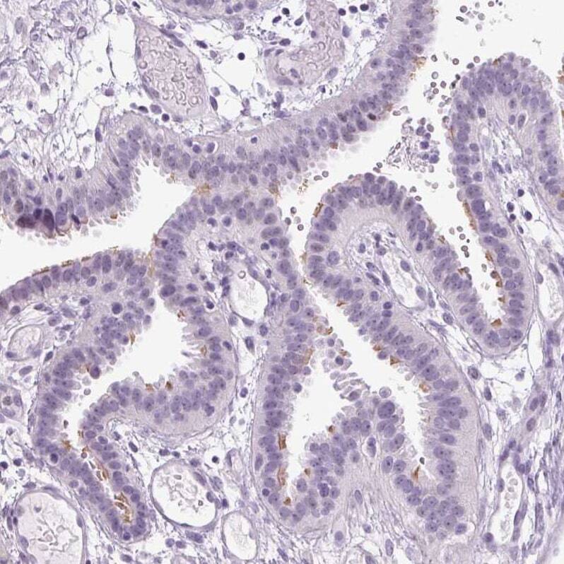
- Submitted by
- Invitrogen Antibodies (provider)
- Main image

- Experimental details
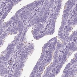
- Immunohistochemical staining of ARMC4 in human fallopian tube using ARMC4 Polyclonal Antibody (Product # PA5-58129) shows high expression.
- Submitted by
- Invitrogen Antibodies (provider)
- Main image

- Experimental details
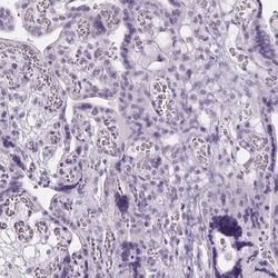
- Immunohistochemical staining of ARMC4 in human placenta using ARMC4 Polyclonal Antibody (Product # PA5-58129) shows low expression as expected.
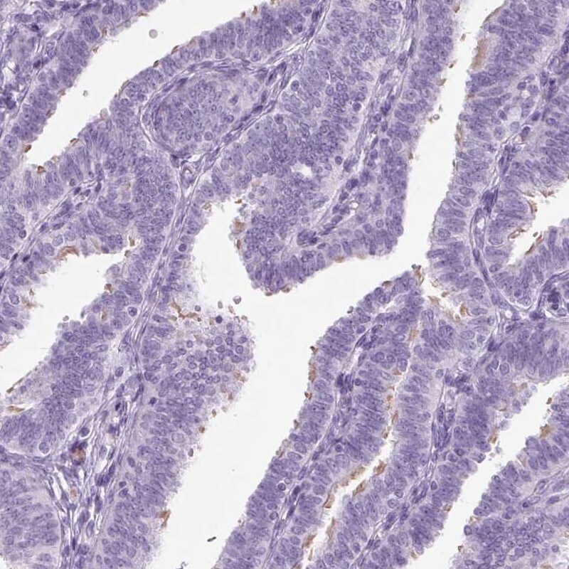
- Submitted by
- Invitrogen Antibodies (provider)
- Main image

- Experimental details
- Immunohistochemical staining of ARMC4 in human fallopian tube and placenta tissues using ARMC4 Polyclonal Antibody (Product # PA5-58129). Corresponding ARMC4 RNA-seq data are presented for the same tissues.
- Submitted by
- Invitrogen Antibodies (provider)
- Main image

- Experimental details
- Immunohistochemical analysis of ARMC4 in human stomach using ARMC4 Polyclonal Antibody (Product # PA5-58129) shows no positivity in glandular cells as expected.